脑脊液耳漏

脑脊液耳漏简介
图片尺寸413x359
经迷路脑脊液耳漏修补术
图片尺寸949x960
脑和脊髓被膜血管脑脊液循环ppt
图片尺寸1080x810
儿童脑脊液耳漏修补与人工耳蜗植入同期手术的探讨
图片尺寸542x574
脑挫伤颅底粉碎性骨折脑脊液漏 - 好大夫在线
图片尺寸886x1921
经外耳道水下耳内镜修复先天性内耳畸形伴脑脊液耳漏1例并文献复习
图片尺寸533x537
脑脊液耳漏ppt课件
图片尺寸920x690
脑脊液漏
图片尺寸720x959
儿童脑脊液耳漏修补与人工耳蜗植入同期手术的探讨
图片尺寸533x351
脑脊液耳漏疑难病例讨论
图片尺寸1080x608
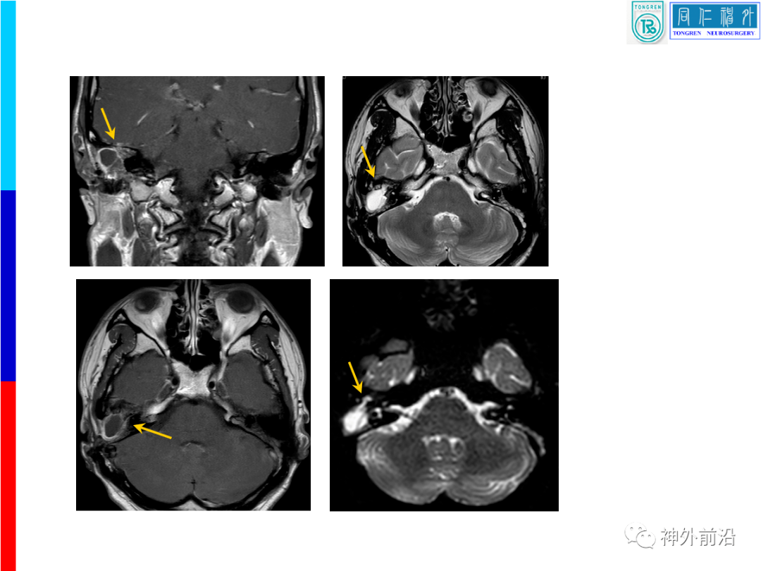
同仁颅面创伤容易误诊的脑脊液耳漏如何手术治疗康军
图片尺寸1080x810
耳漏的性质可不同,有的如油脂(脂性),有的为浆
图片尺寸536x300
同仁颅面创伤容易误诊的脑脊液耳漏如何手术治疗康军
图片尺寸1080x810
同仁颅面创伤容易误诊的脑脊液耳漏如何手术治疗康军
图片尺寸1080x810
经外耳道水下耳内镜修复先天性内耳畸形伴脑脊液耳漏1例并文献复习
图片尺寸529x583
脑脊液鼻漏和耳漏修补术
图片尺寸300x276
脑脊液耳漏疑难病例讨论
图片尺寸1080x608
自发性脑脊液鼻漏来势汹汹典型病例及症状图
图片尺寸3264x1840
儿科大夫告诉你不要轻视
图片尺寸451x280
同仁颅面创伤容易误诊的脑脊液耳漏如何手术治疗康军
图片尺寸1080x810