脑膜瘤严重吗

脑膜瘤通常是良性肿瘤,个别脑膜瘤是恶性的.
图片尺寸1919x1804
脑膜瘤一般都是良性肿瘤.这个53岁女病人因头痛发现脑部长了两 - 抖音
图片尺寸1919x1909
8年的脑膜瘤还有救吗?
图片尺寸720x1558
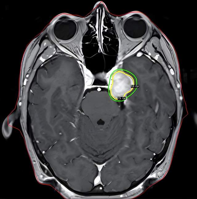
形形色色脑膜瘤
图片尺寸1797x1966
脑膜瘤.脑膜瘤是脑内常见的肿瘤,大部分良性,手术切除后预后良 - 抖音
图片尺寸1440x1920
砂砾体型脑膜瘤的特征是在肿瘤中形成许多矿物质化的同心圆结构和
图片尺寸912x1128
7个问答,带你快速了解脑膜瘤 - 脑医汇 - 神外资讯 - 神介资讯
图片尺寸534x332
58岁癫痫大发作查出镰旁脑膜瘤,经手术治疗后痊愈
图片尺寸1200x900
全国肿瘤防治周专题:她的经历告诉大家脑膜瘤别误诊误治!
图片尺寸3072x4096
脑膜瘤中的"难中之难"——天津市环湖医院亢建民主任团队成功完成一例
图片尺寸532x487![脑膜瘤,够典型吗? [病例帖]](https://i.ecywang.com/upload/1/img2.baidu.com/it/u=3699429301,2866883307&fm=253&fmt=auto&app=138&f=JPEG?w=500&h=666)
脑膜瘤,够典型吗? [病例帖]
图片尺寸640x853
脑膜瘤长什么样
图片尺寸1153x1080
手术切除脑膜瘤有什么风险?
图片尺寸4624x3468
脑膜瘤,请问有多严重?哪些医院擅长治这个病?不敢去百度了.
图片尺寸720x990
求助:商丘隔离人员复发脑膜瘤病情严重,多方积极协调解决
图片尺寸529x707
巨大脑室内脑膜瘤
图片尺寸680x509
左额顶叶脑膜瘤
图片尺寸1200x1463
脑瘤跟脑膜瘤哪种病情更严重,脑膜瘤要手术治疗吗?(下)
图片尺寸659x471
脑膜瘤3—4cm算严重的吗?
图片尺寸640x647
全国肿瘤防治周专题:她的经历告诉大家脑膜瘤别误诊误治!
图片尺寸3072x4096