脑膜瘤影像图片

一巨大脑膜瘤患者在 华北理工大学附院神经外科 成功治愈
图片尺寸2000x2906
对于表现为脑膜瘤症状的患者,头部ct扫描经常作为最初的影像学检查,但
图片尺寸554x365
榆林一院郝东宁团队完成""颅内运动区巨大脑膜瘤"一例
图片尺寸1600x1200
脑膜瘤ct表现
图片尺寸750x563
一例幕上脑膜瘤的手术探讨
图片尺寸3264x2448
病例42 鞍区脑膜瘤一例 - 医学影像学讨论版 - 爱爱医医学论坛
图片尺寸512x512
潜伏十余年 中年女子巨大脑膜瘤被成功切除
图片尺寸620x663
右侧额顶叶占位脑膜瘤可能
图片尺寸3264x2448
右侧额顶叶占位脑膜瘤可能
图片尺寸3264x2448
脑膜瘤一例 - 好大夫在线
图片尺寸4160x2336
形形色色脑膜瘤
图片尺寸1797x1966
枕骨大孔区脑膜瘤实例
图片尺寸1016x1020
病例简介:李惠英,右额非典型脑膜瘤
图片尺寸1600x1200
左额脑膜瘤
图片尺寸1200x1600
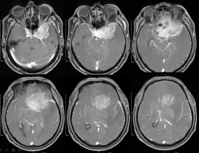
脑膜瘤
图片尺寸640x494
术前ct见左顶叶占位,考虑脑膜瘤
图片尺寸2000x2667
考虑诊断:右侧蝶骨嵴脑膜瘤
图片尺寸2000x2379
脑膜瘤(顶叶 右侧)-刘海琴
图片尺寸3024x4032
形形色色脑膜瘤
图片尺寸665x814
病例42 鞍区脑膜瘤一例 - 医学影像学讨论版 - 爱爱医医学论坛
图片尺寸512x512