脑膜瘤鼠尾征

脑膜尾征脑膜瘤图片doc
图片尺寸920x1302
影像总结丨脑膜三件套——脑膜瘤,hpc/sft
图片尺寸960x720
脑膜尾征
图片尺寸590x318
脑膜尾征脑膜瘤图片word编辑
图片尺寸920x1302![与新手共同学习"脑膜尾征" [精华]](https://i.ecywang.com/upload/1/img0.baidu.com/it/u=861752772,4071528425&fm=253&fmt=auto&app=138&f=JPEG?w=347&h=500)
与新手共同学习"脑膜尾征" [精华]
图片尺寸1026x1479
脑膜尾征你不会只知道脑膜瘤吧
图片尺寸1080x827
脑膜尾征
图片尺寸870x883
丁香园论坛
图片尺寸764x728
脑膜尾征
图片尺寸800x768
(本例原发肿瘤为肺癌,箭头所指脑膜尾征)2.
图片尺寸640x479
脑膜尾征你不会只知道脑膜瘤吧
图片尺寸960x720
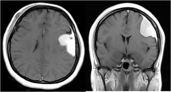
左小脑占位,是否有明显尾征,能确定小脑幕脑膜瘤么
图片尺寸2501x1840
形形色色脑膜瘤
图片尺寸1256x1348
脑膜尾征
图片尺寸1162x1188
mri征象:1,典型的脑膜瘤多变现未等或稍短t1,等或稍长t2信号类圆形
图片尺寸1080x1192
形形色色脑膜瘤
图片尺寸1797x1966
脑膜瘤显微外科切除术.体检时做ct发现脑膜瘤,在协和医院神经 - 抖音
图片尺寸1440x1920
special report: neuro-oncology
图片尺寸1020x786
wm-only增强见占位病灶呈明显中高度强化,且信号均匀,并见"脑膜尾征"
图片尺寸776x510
总之,"脑膜尾征"是影像学一个重要征象,经常出现在脑膜瘤中,但也不是
图片尺寸640x429