脑血流图检查

脑血流图,临床适应症为脑供血不足,脑血管痉挛,椎基底动脉狭窄或供血
图片尺寸2000x2667
脑血流图能够较客观地反映脑血管的紧张度,血管的弹性,博动性供血量
图片尺寸502x721
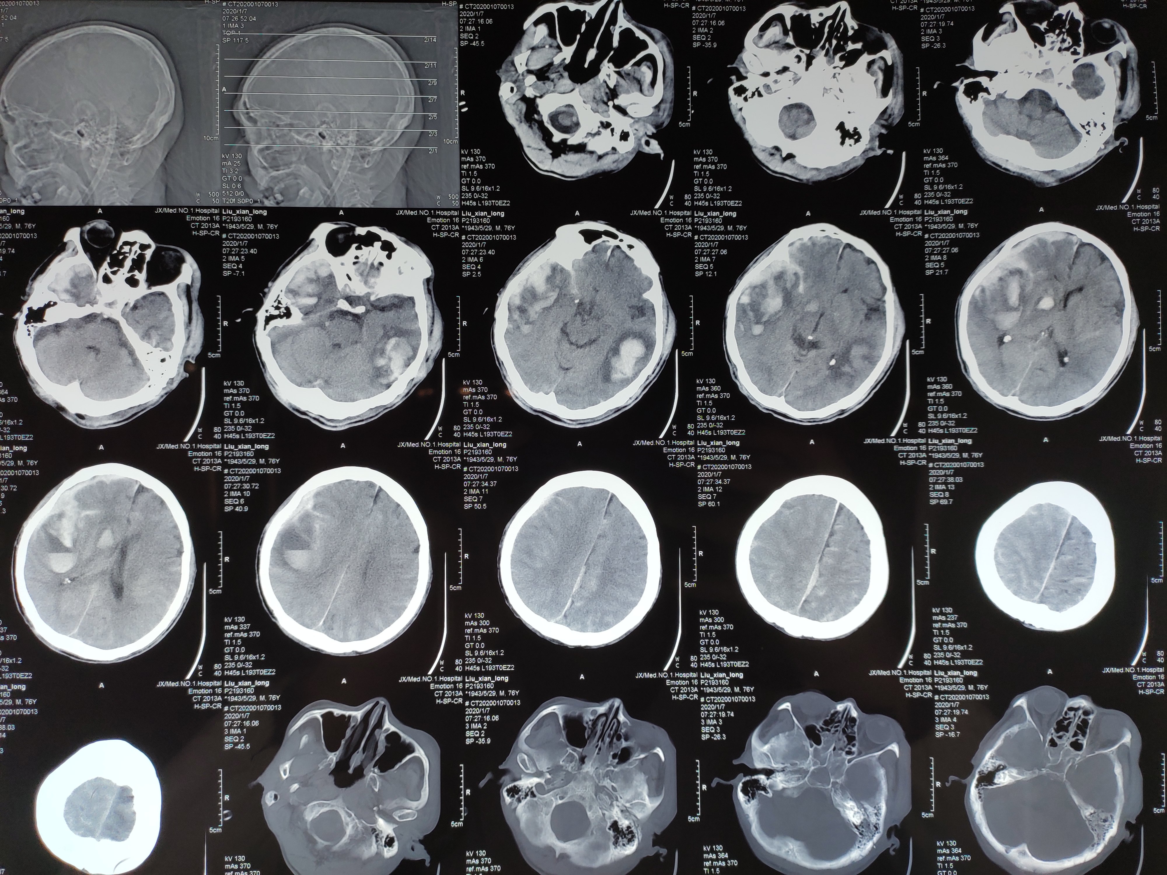
图为该患者头颅ct检查. 西安交大一附院 供图
图片尺寸700x466
脑出血,杜某某,50岁,以"突发左侧肢体无力1小时余"急诊入院.
图片尺寸2667x2000
脑底动脉环上各个主要动脉血流动力学参数的一项无创性血管检查方法
图片尺寸350x436
脑出血,杜某某,50岁,以"突发左侧肢体无力1小时余"急诊入院.
图片尺寸2667x2000
高血压脑出血 - 好大夫在线
图片尺寸4000x3000
脑出血,杜某某,50岁,以"突发左侧肢体无力1小时余"急诊入院.
图片尺寸2667x2000
4月10日晚就诊于我科急诊, 即刻行头颅ct检查 体格检查:意识清,精神
图片尺寸3264x2448
脑血管"喝酒"治疗脑出血
图片尺寸2000x2492
顺时针方向依次:脑血流量cbf,达峰时间ttp,平均通过时间mtt,脑血
图片尺寸1418x1442
科普知识竞赛#脑血流图检查通过脑血流对脑进行进行检查.
图片尺寸3533x1280
天天头晕,做了脑血流图,请帮忙看看结果
图片尺寸612x816
患者:巴德尔苏德,男,57岁,右侧颞顶枕叶脑出血,呈昏睡状态
图片尺寸2000x2667
手术后脑血流通畅,脑血管显影恢复正常.
图片尺寸1399x1608
p>脑血流图又叫脑阻抗图,它是利用电阻抗变化的原理,描记随心脏跳动
图片尺寸972x670
患者做tcd,检查脑血流溶栓专用床(称重床),根据患者体重计算溶栓药物
图片尺寸1080x720
成人,新生儿都有不同的入路也可以用多普勒,可以全面看看脑血流.
图片尺寸1242x822
车祸多发脑出血,开刀成功 - 好大夫在线
图片尺寸4000x3000
p>脑血流图又叫脑阻抗图,它是利用电阻抗变化的原理,描记随心脏跳动
图片尺寸978x540