脑血管介入图片

神经内科成功开展脑血管介入取栓术
图片尺寸640x428
珠海市人民医院脑血管病科(脑卒中)健康教育讲堂---脑血管介入治疗
图片尺寸1080x1440
我院脑血管科成功开展首例介入手术!
图片尺寸2667x2000
【关注】揭阳市缺血性脑血管病介入诊疗会议在我院召开
图片尺寸1080x719
骨干力量到三甲医院进修学习,熟练掌握了脑血管介入技术的操作和应用
图片尺寸901x601
全脑血管造影
图片尺寸1080x1080
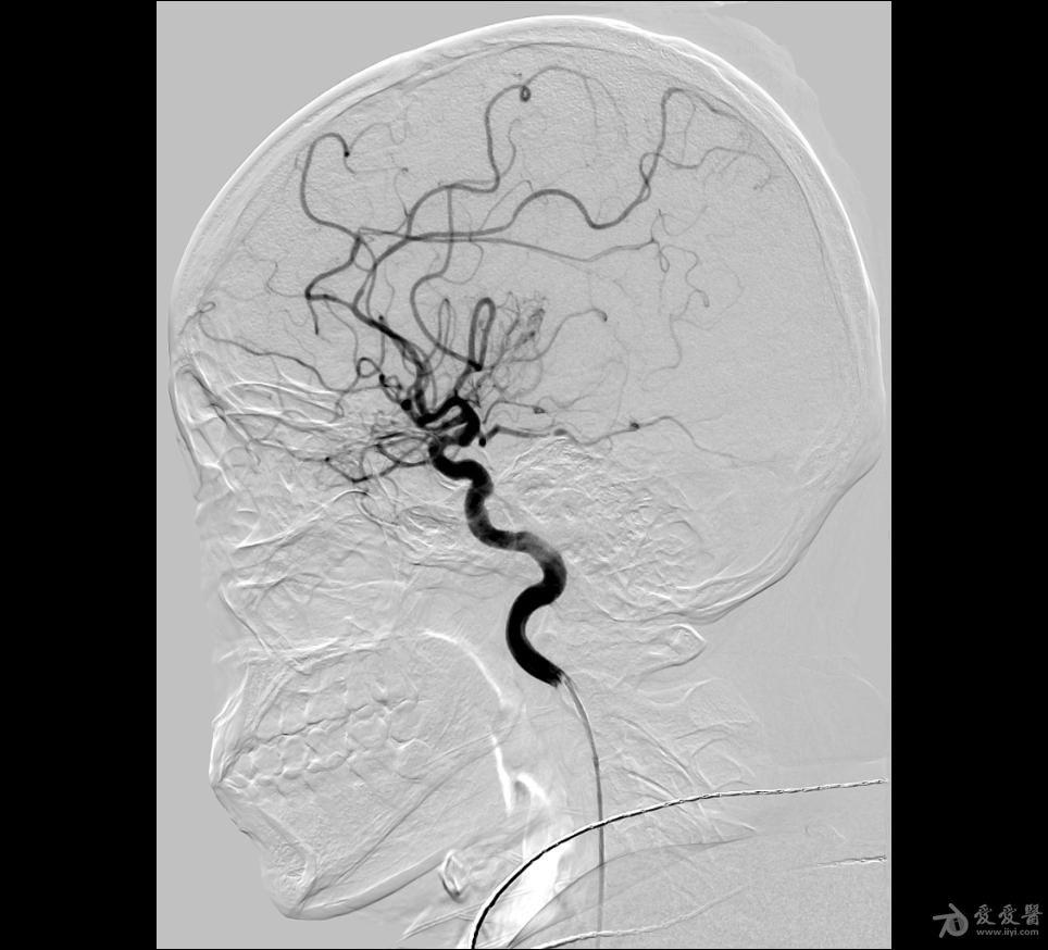
一例年轻女性多发脑血管狭窄的介入治疗案例
图片尺寸964x874
团队的两例脑血管病介入手术——临汾市人民医院神经外科
图片尺寸1999x2666
专访郭新宾:脑血管病治疗前沿技术 神经介入技术
图片尺寸500x294
神经内科医生在做缺血性脑血管病介入治疗.jpg
图片尺寸1270x831
团队的两例脑血管病介入手术——临汾市人民医院神经外科
图片尺寸1999x2666
带你了解脑血管介入治疗
图片尺寸1080x810
周口永善医院脑血管病介入诊疗中心的美篇
图片尺寸297x312
我院脑血管科成功开展首例介入手术!
图片尺寸2667x2000
全脑血管介入治疗
图片尺寸2000x2667
神经血管介入 一一脑血管病诊治新方法
图片尺寸1200x1219
疏通脑血管我们在行动记唐山海港医院神经内科脑血管疾病介入治疗
图片尺寸514x312
秦皇岛市工人医院成功开展脑血管病介入诊疗
图片尺寸2000x2667
德州联合医院成功实施首例脑血管介入支架成形术
图片尺寸640x516
脑血管病介入治疗二例-青海红十字医院神经外科
图片尺寸1199x1599