脑血管瘤ct图片

颅内海绵状血管瘤
图片尺寸714x517
女子头晕,上厕所时晕倒,送医后死亡,医生:她是被"炸"死的|出血|血管瘤
图片尺寸640x854
颅内多发性海绵状血管瘤
图片尺寸2915x3301
cta显示左侧m2分叉处囊性动脉瘤(图2).
图片尺寸911x1373
脑颜面血管瘤ct典型表现
图片尺寸1599x999
脑海绵状血管瘤是年轻人脑出血常见原因,不要轻视"头痛脑热"!
图片尺寸1601x1093
脑海绵状血管瘤是年轻人脑出血常见原因,不要轻视"头痛脑热"!
图片尺寸1626x1100
头部左侧枕叶海绵状血管瘤!
图片尺寸1920x2560
然后查头部ct,根据电极片显示的血管瘤的体表位置设计手术切口
图片尺寸441x527
医影精品 | 急性头痛的影像学表现_动静脉_患者_大脑
图片尺寸834x993
头部左侧枕叶海绵状血管瘤!
图片尺寸1920x2560
脑干海绵状血管瘤需及时治疗
图片尺寸3525x1704
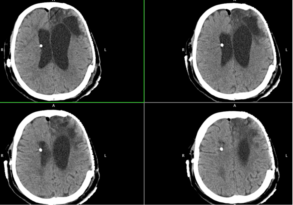
脑动脉瘤术后脑积水,1年5次住院,2次分流术,腰大池引流,ommaya囊抽吸
图片尺寸640x340
南阳市中医院脑外科为颅内动脉瘤破裂合并出血患者生命护航
图片尺寸3024x4032
67复杂性难治性脑积水之脑动脉瘤术后继发脑积水| 4次手术仍颅内
图片尺寸970x681
本文就来简单介绍下颅内海绵状血管瘤.
图片尺寸640x747
脑外伤后脑脊液鼻漏,颅内动脉瘤栓塞术后和开颅术脑脊液鼻漏修补术后
图片尺寸640x498
海绵状血管畸形(cavernous malformation)也称海绵状血管瘤,是血管
图片尺寸732x283
吕秀英,女,72岁.右侧大脑中动脉动脉瘤 sah
图片尺寸2000x2000
海绵状血管瘤是怎么引起的
图片尺寸818x316