脑袋里全是你的ct图片

50 脑ct图片诊断解答的越详细越好,不小心摔了一下,医生说脑袋有淤血
图片尺寸768x1024
脑ct求助,平常查过 血脂稍微高一点 ,脑袋前边偶尔疼或者不舒服 去
图片尺寸779x1050
抖音脑子ct图里面全是你字表情包
图片尺寸561x778
最近头老疼,去医院做了ct,结果终于出来了,大夫说自己看吧,脑子里tm全
图片尺寸722x640
最用的语言感谢在疫情时期缴纳物业费的您
图片尺寸440x587
脑科医生带您解读:ct/磁共振报告上的"脑萎缩"是不是病
图片尺寸640x510
抖音满脑子都是车钱ct表情包套图下载
图片尺寸439x543
正常头颅ct,mri图解ppt
图片尺寸1080x810
简明又详细的头部ct读片详解,收藏!
图片尺寸477x538
脑袋左侧太阳穴受到猛烈撞击大家能从这张ct中看出什么问题吗比如颅骨
图片尺寸2592x1936
脑ct医保 医保脑ct
图片尺寸4095x2730
脑袋里的这么多瘤瘤竟然跟心脏有关(⊙o⊙)_手机搜狐网
图片尺寸640x468
头颅ct读片.ppt
图片尺寸1080x810
脑ct是扫描,就像激光在触摸我们大脑一样,一般脑袋里面长了一些异常
图片尺寸549x309
正常头颅ct,mri图解ppt
图片尺寸1080x810
我妈昨天去拍ct说脑袋里占位,又拍个磁共振说是良性肿瘤,他说不用动
图片尺寸960x1280
最近头老疼,去医院做了ct,结果终于出来了大夫说自己看吧,脑
图片尺寸640x1136
脑袋里的珍珠颅内表皮样囊肿
图片尺寸679x426
头部ct,dsa/20101107
图片尺寸1877x1774
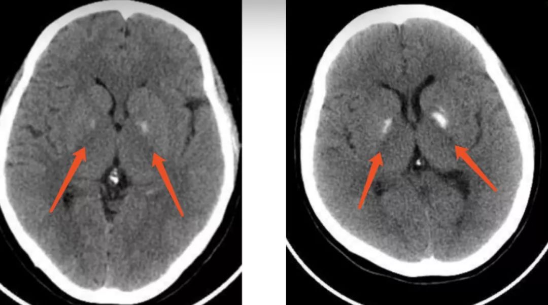
这种病不仅会使脑袋里长石头还会遗传
图片尺寸1080x601