脑转移 磁共振

哪些脑转移瘤可以手术治疗?
图片尺寸3562x3680
脑转移imaging of cerebral metastases
图片尺寸1920x1080
脑转移瘤影像诊断
图片尺寸1035x816
脑转移瘤影像诊断
图片尺寸993x792
多参数mr综合评估肺癌脑转移
图片尺寸1080x1213
多参数mr综合评估肺癌脑转移
图片尺寸1080x1225
天津一男子甲癌术后吃优甲乐,3年后脑转移,到底咋回事?
图片尺寸1242x995
54岁,河北人,颅内多发脑转移瘤,没有找到本源瘤,2023年2月14日做核磁
图片尺寸1082x1465
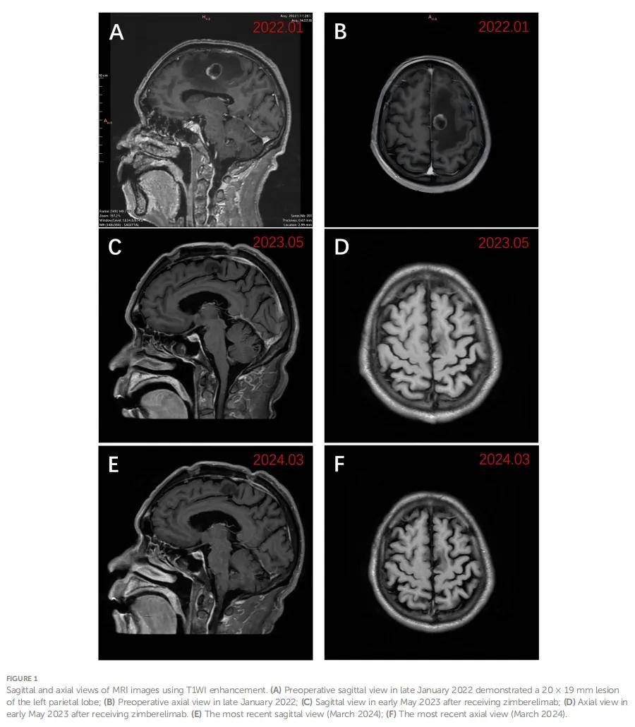
一例肺癌脑转移颅脑增强磁共振引发的思考
图片尺寸1080x826
pd-l1高表达非小细胞肺癌脑转移患者获益赛帕利单抗,颅内无复发生存期
图片尺寸900x1030
肺癌脑转移来袭?莫慌!及早干预赢得"生机"
图片尺寸1080x587
恶性肿瘤脑转移mri诊断与鉴别
图片尺寸960x720
男子发现记忆力下降,一查竟是肺癌脑转移?医生:这些症状别忽视!
图片尺寸1080x652
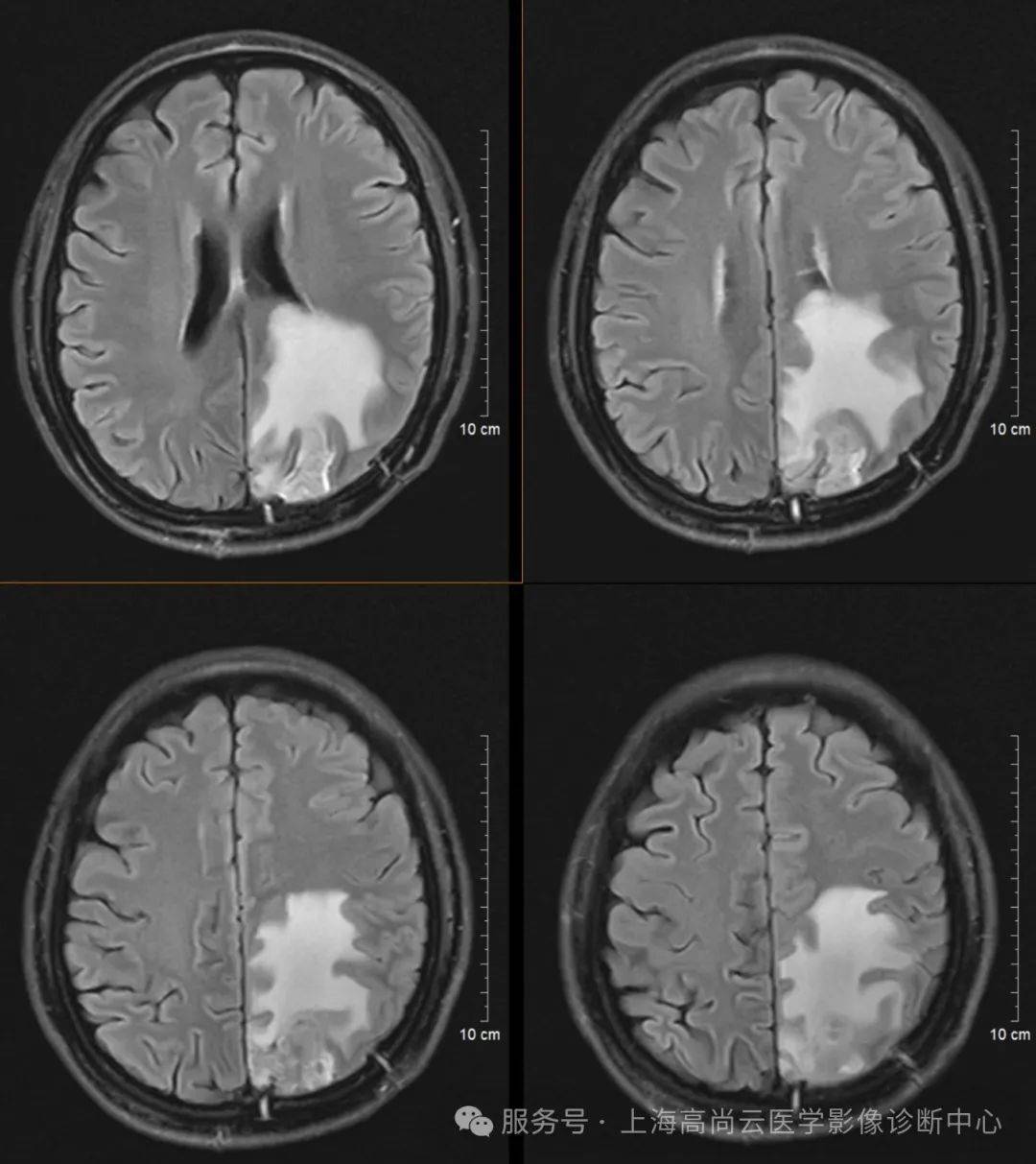
立体定向放射外科治疗后脑转移瘤患者mri表现和生存结果
图片尺寸835x627
脑转移瘤有什么特点?
图片尺寸3000x4000
恶性肺癌脑转移患者治疗病例
图片尺寸1080x1440
多参数mr综合评估肺癌脑转移
图片尺寸1080x1214
"脑转移"不可怕,规范诊疗是关键
图片尺寸437x698
又一例肺癌脑转移癌
图片尺寸1080x1440
借例说病之脑转移瘤的伽马刀治疗2
图片尺寸2048x2048