脑透明隔

头颅ct看看透明隔
图片尺寸3456x2304
脑室 透明隔间腔 (第五脑室 第五脑室) 第五脑室
图片尺寸1080x810
透明隔腔在胎儿头部三个重要横切面都应该显示
图片尺寸1080x603
"第五脑室"就是透明隔腔吗?
图片尺寸1080x1428
【图】透明隔囊肿的症状是什么呢 介绍透明隔囊肿病因及治疗方法
图片尺寸369x416
透明隔腔的影像学及临床意义【一文读懂】
图片尺寸640x480
精神分裂症患者脑部透明隔腔的ct表现及临床价值
图片尺寸578x549
"第五脑室"是透明隔腔吗?
图片尺寸389x391
神经内镜下行透明隔造瘘术
图片尺寸550x340
贺晓生教授透明隔囊肿案例
图片尺寸2048x1536,vergae腔 [第六脑室](虚箭)](https://i.ecywang.com/upload/1/img0.baidu.com/it/u=834936400,3934517483&fm=253&fmt=auto&app=138&f=JPEG?w=344&h=398)
透明隔间腔 [第五脑室](实箭),vergae腔 [第六脑室](虚箭)
图片尺寸344x398
透明隔间腔的影像学及临床意义
图片尺寸640x480
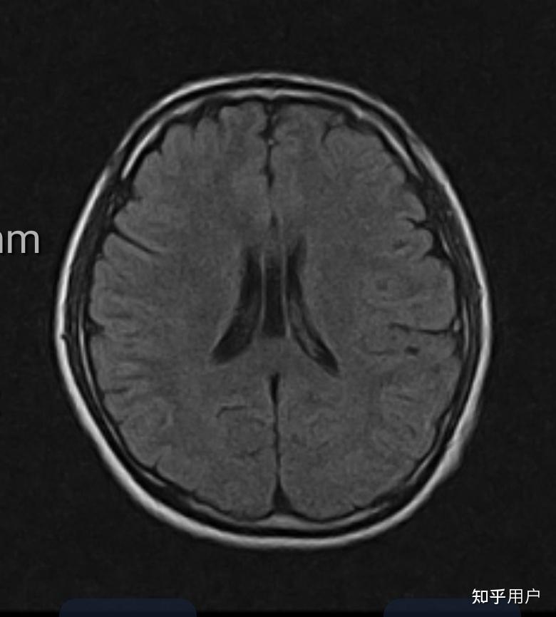
拥有透明隔囊肿或第五脑室的人, 是不是特别聪明 ? - 知乎
图片尺寸780x866
贺晓生教授透明隔囊肿案例
图片尺寸2048x1536
是透明隔囊肿吗
图片尺寸1536x2048
经胼胝体透明隔间穹隆间入路手术切除第三脑室肿瘤
图片尺寸400x400
透明隔,侧脑室神经上皮囊肿?
图片尺寸1080x1440
广州医科大学附属第五医院 病例分享:儿童透明隔囊肿的神经内镜手术
图片尺寸1179x1062
避免胎儿透明隔腔异常诊断的4个误区
图片尺寸1080x706
透明隔腔的影像学及临床意义【一文读懂】
图片尺寸640x480