脑部肿瘤ct图

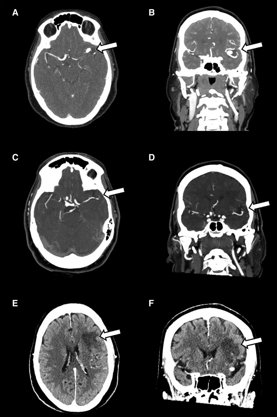
图e和f,左侧m2上干梗死:平扫ct可见mca局部高密度信号为动脉瘤内血栓
图片尺寸911x1373
中枢神经系统的病例影像:脑肿瘤
图片尺寸960x540
中枢神经系统的病例影像:脑肿瘤
图片尺寸960x540
ct报告中这些"字眼"都在提醒你,癌细胞可能已经转移了!
图片尺寸831x461
中枢神经系统的病例影像:脑肿瘤
图片尺寸960x540
图-21:出院时头颅ct
图片尺寸501x408
中枢神经系统的病例影像:脑肿瘤
图片尺寸960x540
陕西省核工业二一五医院3d打印精准定位辅助切除颅内肿瘤
图片尺寸828x816
图-19:2023年10月9日头颅ct2023年10月18日(治疗5个月),出院时:入院时
图片尺寸398x304
癫痫|脑疝|症状|脑肿瘤|免疫性疾病_网易订阅
图片尺寸348x409
图-16:2023年2月11日入院时头颅ct入院次日即2023年2月12日,进行了
图片尺寸640x767
吃药抑制疼痛,可是药效一过就又开始疼,然后过来医院做了ct和核磁共振
图片尺寸640x408
北大才子三室内肿瘤切除后,因脑积水10个月内在北京多家医院经6次手术
图片尺寸640x490
中枢神经系统的病例影像:脑肿瘤
图片尺寸960x540
脑ct片有肿瘤女54岁大家帮忙看看严重不
图片尺寸3085x2855
头ct
图片尺寸3024x4032
的占位,进一步进行核磁共振检查后,确诊为镰旁脑膜瘤,肿瘤已经长到5
图片尺寸4096x3072
能在这例头颅ct上发现病变的,都是"火眼金睛"!_肿瘤_神经_诊断
图片尺寸630x630
ct示左额颞叶巨大肿瘤
图片尺寸1687x1200
全市首例!3d联合全息引导借助混合现实技术为脑肿瘤患者添福音
图片尺寸800x500