脑部胶质瘤颅内

脑干胶质瘤
图片尺寸504x448
p>脑胶质瘤是由于大脑和脊髓胶质细胞癌变所产生的,最常见的原发性
图片尺寸1273x1377
颅内节细胞胶质瘤的mri诊断
图片尺寸720x540
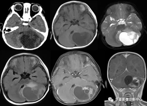
mri:考虑胶质瘤,不除外转移瘤.
图片尺寸4032x3024
颅内节细胞胶质瘤(gg)影像诊断
图片尺寸1080x8794
颅内胶质瘤
图片尺寸4032x3024
66岁,主因"头痛20余天,反言语减少3天"以"左侧额顶叶巨大颅内胶质瘤"
图片尺寸1812x1080
舅舅颅内竟有五公分巨大胶质瘤 在美工作医学博士外甥求医我院
图片尺寸700x421
66岁,主因"头痛20余天,反言语减少3天"以"左侧额顶叶巨大颅内胶质瘤"
图片尺寸1776x1080
脑胶质瘤是中枢神经系统最常见的颅内恶性肿瘤,亦可以称为神经外胚层
图片尺寸640x531
巨大颅内胶质瘤
图片尺寸1600x1200
胶质瘤—颅内最常见原发肿瘤,该如何科学对待? - 好大夫在线
图片尺寸1476x623
带你认识脑胶质瘤(1)
图片尺寸463x452
颅内节细胞胶质瘤的mri诊断
图片尺寸720x540
颅内胶质瘤
图片尺寸4032x3024
左侧颞叶胶质瘤
图片尺寸2000x2667
双额叶胼胝体胶质瘤_胶质瘤 - 好大夫在线
图片尺寸800x731
【影像基础】脑内胶质类肿概述_肿瘤
图片尺寸477x345
低价格胶质瘤-丁帆博
图片尺寸2000x2666
胶质瘤检查哪些项目
图片尺寸461x309