脑钙化

常见颅脑生理性钙化
图片尺寸1080x2340
fahr病:脑钙化的神秘面纱
图片尺寸1496x1070
脑钙化病例一例
图片尺寸3628x2064
大脑镰钙化:主要见于侧脑室三角区,钙化呈圆形或不规则形,多数情况下
图片尺寸577x1220
颅内钙化性病变影像诊断思路,疾病谱都在这里了!全网最全?
图片尺寸738x428
💥颅内对称性钙化的秘密🔍
图片尺寸300x287
slc20a2基因型原发性家族性脑钙化
图片尺寸750x807
脑钙化灶
图片尺寸500x348
常见颅脑生理性钙化
图片尺寸1080x2340
2506神经影像病例 ct上的钙化灶:一个经典的诊断谜题
图片尺寸512x512
一种被低估的脑内钙化
图片尺寸432x564
慢性期脑囊虫死亡以后,囊液逐渐被吸收,囊虫被机化,最后出现钙化,闹
图片尺寸640x1044
一次手术切除多发钙化性脑膜
图片尺寸2948x1658
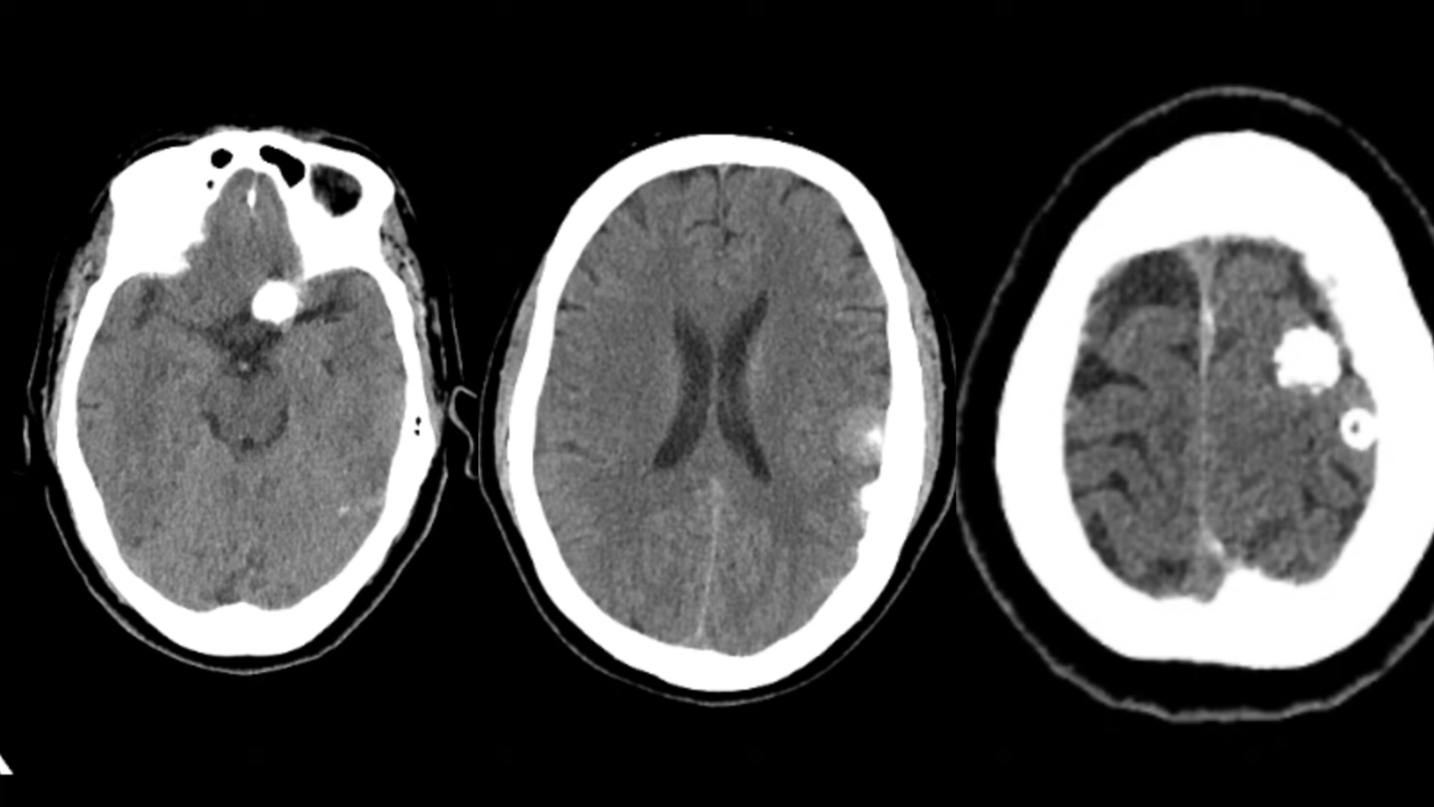
颅内多发钙化
图片尺寸3072x4096
一文读懂
图片尺寸489x565
主要见于侧脑室三角区,钙化呈圆形或不规则形,多数情况下脉络膜丛钙化
图片尺寸462x485
《脑部钙化的ct诊断》课件
图片尺寸2400x1350
大脑镰钙化的临床表现有哪些
图片尺寸1862x2490
有宝贝们了解脑钙化灶吗
图片尺寸1280x1280
90%以上甲状旁腺功能低下患者表现有脑实质内多发钙化,常弥漫性分布于
图片尺寸243x589