脑铁沉积

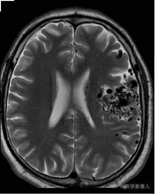
泛酸激酶相关神经变性(pkan)属于脑组织铁沉积性神经变性疾病(nbia)
图片尺寸445x503
脑组织铁沉积神经变性病临床与影像诊断(二)
图片尺寸618x725
中枢神经系统表面铁沉积症一例并文献复习
图片尺寸720x822
中枢神经系统表面铁沉积症
图片尺寸960x720
什么原因导致了表面含铁血黄素沉积?
图片尺寸640x370
高尚病例:中枢神经系统表面铁质沉积症一例
图片尺寸1080x1160
"虎眼征",这个征象提示啥?
图片尺寸512x606
影像解析:中枢神经系统含铁血黄素沉积症
图片尺寸630x536
8大类脑内t2wi 低信号病变
图片尺寸502x628
矿物质沉积铁沉积(正常老年男
图片尺寸499x501
矿物质沉积铁沉积(正常老年男性)fahr 病脑膜瘤钙化6.
图片尺寸499x611
68岁女性,swi显示齿状核,红核,黒质铁沉积
图片尺寸640x480
重型颅脑损伤治疗后出现硬膜下积液
图片尺寸2048x1536
一例淀粉样血管病伴有左侧局灶性表面铁沉积症(箭头所示)患者头颅
图片尺寸640x979
污染空气毒性微粒可直接进人类大脑 可能诱发老年痴呆症等疾病
图片尺寸630x354
矿物质沉积铁沉积(正常老年男性)fahr 病脑膜瘤钙化6.
图片尺寸500x586
矿物质沉积铁沉积(正常老年男性)fahr病脑膜瘤钙化6.
图片尺寸500x570
晚期ad患者脑部的淀粉样斑块和神经纤维缠结1907年,德国医生爱罗斯
图片尺寸581x425
核磁报含铁血黄素沉着一例.
图片尺寸3120x2268
什么原因导致了表面含铁血黄素沉积?
图片尺寸640x436