脑铁沉积症

脑组织铁沉积神经变性病临床与影像诊断(二)
图片尺寸618x725
中枢神经系统表面铁沉积症一例并文献复习
图片尺寸720x822
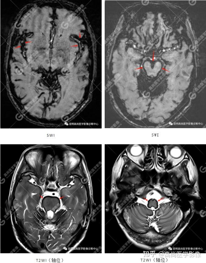
言语困难,表述不清,确诊:中枢神经系统表面铁质沉积症,伴轻度小脑萎缩
图片尺寸1080x1160
脑组织铁沉积神经变性病临床与影像诊断(二)
图片尺寸640x928
脑铁沉积的神经变性病
图片尺寸622x320
脑组织铁沉积神经变性病诊治专家共识
图片尺寸600x558
中枢神经系统表面铁沉积症
图片尺寸960x720
中枢神经系统表面铁沉积症一例并文献复习
图片尺寸794x720
反复发生的蛛网膜下腔出血可引起含铁血黄素沉积在脑和脊髓表面
图片尺寸640x370
脑组织铁沉积神经变性病临床与影像诊断(二)
图片尺寸1080x1399
言语困难,表述不清,确诊:中枢神经系统表面铁质沉积症,伴轻度小脑萎缩
图片尺寸997x1260
neurology病例:叉骨形铁沉积:gm1神经节苷脂贮积症的典型影像学征象
图片尺寸1080x969
神经退行性疾病伴脑铁沉积6型:揭秘原因及应对策略
图片尺寸3000x4000
硬脑膜增厚和脑表面铁沉积
图片尺寸448x441
言语困难,表述不清,确诊:中枢神经系统表面铁质沉积症,伴轻度小脑萎缩
图片尺寸677x864
多系统萎缩患者,影像检查上出现桥脑"十字征",提示已有脑萎这些
图片尺寸510x654
言语困难,表述不清,确诊:中枢神经系统表面铁质沉积症,伴轻度小脑萎缩
图片尺寸1051x1127
言语困难,表述不清,确诊:中枢神经系统表面铁质沉积症,伴轻度小脑萎缩
图片尺寸678x462
言语困难,表述不清,确诊:中枢神经系统表面铁质沉积症,伴轻度小脑萎缩
图片尺寸1080x961
本研究发现在动作性震颤中存在dn的过度铁沉积和nd-drtt的重塑,佐证了
图片尺寸1080x332