脑ct图片搞笑

抖音脑ct图片高清全系列下载
图片尺寸640x1138
5,有点头疼,于是拍了脑ct
图片尺寸640x771
拍片子看不清做ct吧
图片尺寸1000x1000
67超急性期大面积脑梗死ct平扫表现
图片尺寸878x971
50岁后查脑ct,出现这4种问题,建议不需特殊治疗,不要被坑了_进行_患者
图片尺寸549x613
ct 脑: 显示缺血性脑卒中 (在右额叶 pa 的低密度照片
图片尺寸300x300
脑ct图片
图片尺寸300x300
图-:2015年1月10日头颅ct安徽.png
图片尺寸546x398
为什么不建议做"脑ct"检查?医生告诉你,早知早受益
图片尺寸1236x822
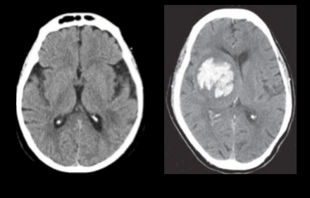
发病后24~48小时才显现?颅脑ct还是脑卒中的首选吗?_诊断_医学_血管
图片尺寸440x282
提醒:头部出现4个异常,及时查下脑ct
图片尺寸640x322
执业医技能脑ct诊断
图片尺寸1080x1440
图-2:2010年1月15日头颅ct为治疗脑积水,2010年1月7日(确诊脑积水14
图片尺寸700x435
疏血通治疗急性脑梗死的临床疗效观察,认识这几种头颅 ct,值夜班稳了
图片尺寸1152x1202
脑ct图片诊断
图片尺寸768x1024
图-:2015年2月11日头颅ct河南.png
图片尺寸674x385
脑ct
图片尺寸2000x2667
图-15:2015年11月6日头颅ct终于脑脊液各项化验达标后于2015年12月7日
图片尺寸522x327
急诊检查发现,孙阿姨血压极高,医生考虑脑血管意外可能,头部ct也提示"
图片尺寸506x675
患者好转为清醒,复查头颅ct见左侧脑室缩小(图-4);但患者出现发热
图片尺寸1270x948