脑ct报告单头颅

鼻骨骨折ct报告 头颅ct平扫2
图片尺寸450x600
邱先生的ct检查报告单"给叶某的钱是我工作这些年的积蓄,此外我昏借
图片尺寸805x1096
朱老汉在泗洪县分金亭医院的ct检查报告,显示颅内并无支架.朱先生供图
图片尺寸1269x1540
李小佳提供的一份威远县人民医院"ct多媒体图文报告单"显示:伤者
图片尺寸600x800
合肥市第三人民医院ct报告单. 本文均为受访者供图
图片尺寸660x880
鼻窦骨折ct报告鼻骨骨折ct报告 头颅ct平扫周诗雅新浪娱乐讯 正在筹备
图片尺寸450x600
李先生赶紧到扬大附院做了个ct检查,结果发现,脑子里竟然有四颗"流动
图片尺寸1080x810
期间4次查头颅ct(图-21,图-22,图-23,图-24)均示脑积水未缓解,且多次
图片尺寸640x592
双侧胸腔少量积液.中下腹ct(2023年2月2日)示:1.
图片尺寸672x823
并发脑萎缩的老年正常压力脑积水:步态不稳,走路前冲不能控制_头颅
图片尺寸1062x970
核医学18ffdgpetct报告书写规范
图片尺寸621x922
图2.李大爷手术前双侧剂量颅脑增强核磁报告.
图片尺寸1536x1095
文章:颅内外沟通瘤术后脑积水颅内真菌感染肉芽肿意识障碍重_头颅
图片尺寸640x767
2021年5月23日头颅ct在该院治疗88天即2021年5月25日(脑外伤后脑出血
图片尺寸640x509
急送往当地的河北省邯郸市的某三甲医院,查头颅ct示脑挫裂伤
图片尺寸640x621
进行了脑室外引流术,术后次日即2020年7月31日,查头颅ct示脑积水术后
图片尺寸1112x894
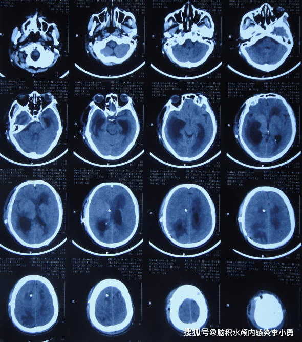
图-18:2020年4月10日头颅ct图-17:2020年4月2日头颅ct第二家医院继续
图片尺寸590x667
图-4:2019年2月21日头颅ct但脑出血脑室外引流术3天即2019年2月21日
图片尺寸1044x1078
皓月ct头颅图像技术和样片分享
图片尺寸7500x3750
皓月ct头颅图像技术和样片分享
图片尺寸7501x3750