脚后跟骨头突出图片

脚后跟突起一块是怎么回事? - 好大夫在线
图片尺寸1125x632
请教一下,这跟骨后上缘突起正常吗?
图片尺寸1442x1898
脚后跟突然突出来一块,硬硬的跟骨头一样 怎么办啊,是什么病?
图片尺寸921x691
脚后跟脚后跟突出来了一个包.
图片尺寸780x1040
你们脚踝内侧有这个骨头(第一张图片)凸起吗?我记 - 抖音
图片尺寸1440x1920
今天洗澡时突然发现脚后跟鼓出来一个硬疙瘩,像突出来的骨头一样,按了
图片尺寸1080x1440
1, 难看,骨质增生到一定程度,脚后跟一大块凸起,鞋子穿不进,穿进去
图片尺寸320x368
真心求助双脚脚后跟侧面突出来的骨头怎么回事
图片尺寸624x490
脚后跟突出来
图片尺寸480x853
后脚跟的骨头突出一块穿鞋有时候磨脚.平时不疼不痒的.
图片尺寸780x1040
脚后跟骨质增生咋总治不好
图片尺寸550x367
右脚脚后跟外侧不知道什么时候骨头肿了一块
图片尺寸500x375
脚后跟疼,是因为长骨刺了吗? 不是.
图片尺寸1925x1280
脚后跟脚后跟突出来了一个包.
图片尺寸780x1040
脚后跟鼓起来一块,疼痛的厉害是什么原因呢
图片尺寸1080x1440
例如这样的……在门诊中,偶尔会碰到这样的病人,说自己脚后跟肿起来
图片尺寸640x411
偶尔会碰到这样的病人,说自己脚后跟肿起来并且伴疼痛,走路走多了
图片尺寸393x262
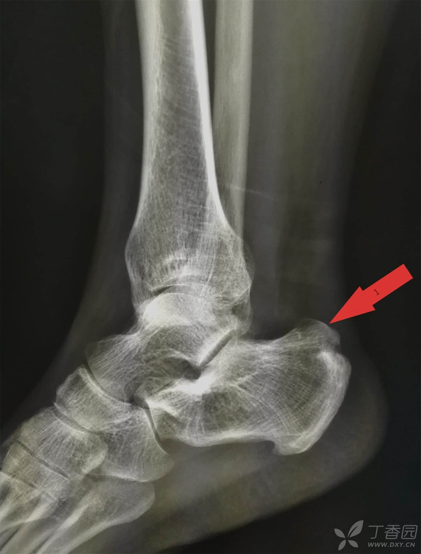
跟骨骨刺
图片尺寸3961x4440
这个脚后跟这块骨头叫什么?
图片尺寸726x792
足跟后方凸起伴疼痛小心跟腱被骨头磨坏
图片尺寸347x248