脚背骨头错位图

骨折好难受(๑˙ー˙๑)
图片尺寸1080x1439
跖骨骨折后脚背一直肿是不正常的
图片尺寸1235x1522
脚背骨折
图片尺寸1279x1706
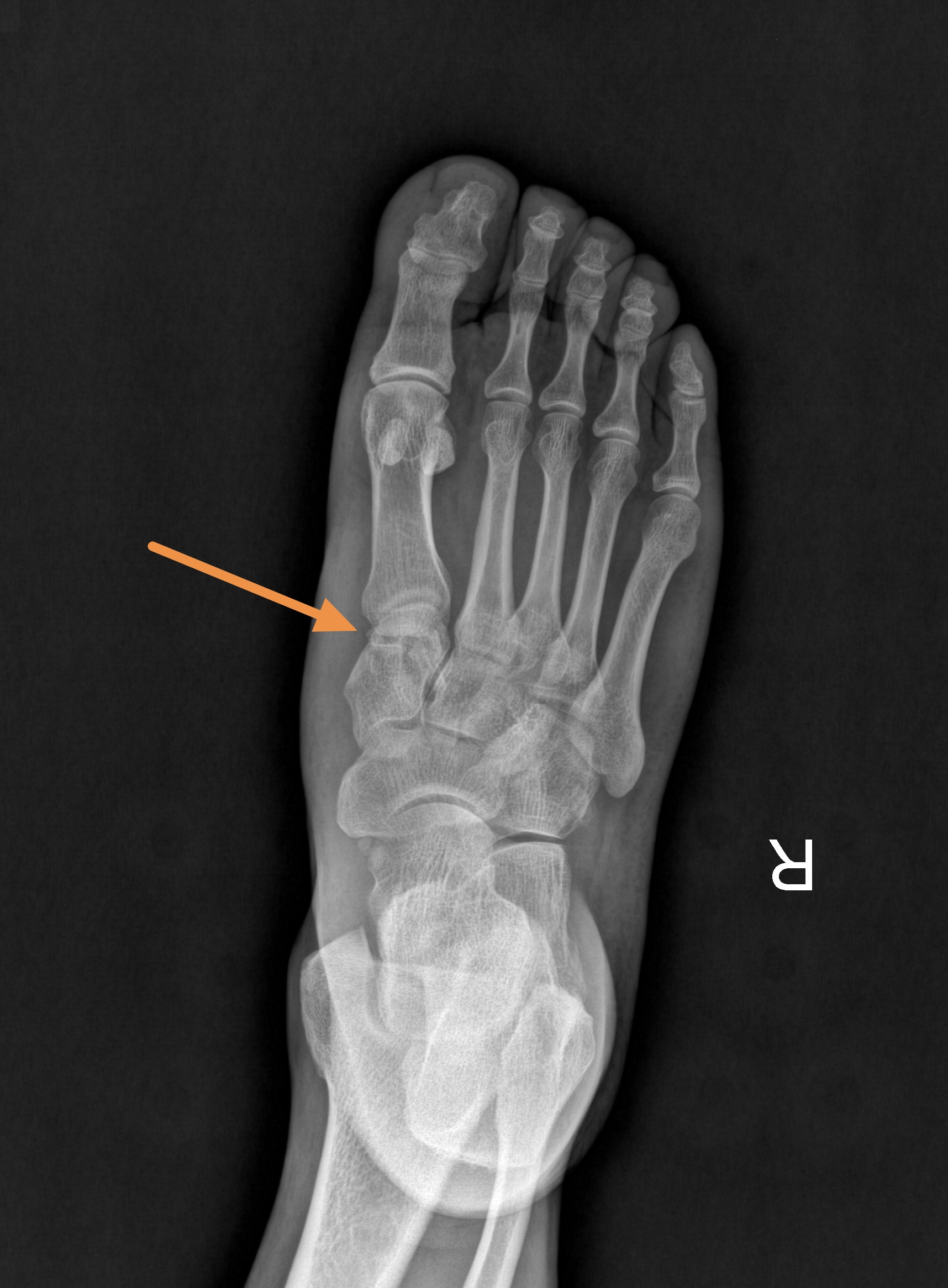
47岁,在家里打扫卫生, 拖把杆碰掉了墙上的一块砖头,掉下来砸脚背上了
图片尺寸1716x2332
在日常生活中,脚背骨折是一种相对常见的损伤,通常发生在运动事故或
图片尺寸900x1200
脚背骨折能不能自己长好,得先去医院拍x光片看看骨折的具体情况
图片尺寸599x855
脚背长骨刺多由慢性损伤,关节退变或力学异常引起,是
图片尺寸1242x1655
小孩脚背上有个小骨头突出是怎么回事
图片尺寸2304x3072
足部lisfranc损伤:从诊断到治疗
图片尺寸1080x1414
脚底和脚背的淤血也更明显了,医生说
图片尺寸1920x1440
🤸♀️压脚背的正确姿势指南👣
图片尺寸1080x1410
复诊啦,愈合得不错,长骨痂了,对位也可以.医生说上网买个前足
图片尺寸2880x2160
你想想,这拇外翻的韧带大多都松弛了,如果手术时不
图片尺寸650x748
下楼梯踩空导致跖骨骨折的真实经历
图片尺寸1080x1436
在武汉不到中万做拇外翻微创矫正是种什么体验?超详细经过分享!
图片尺寸780x1040
脚背骨折的第9天
图片尺寸1280x1706
医生:多长了一点点骨头
图片尺寸1170x1509
速戳:骨头错位了不治会怎样 在日常生活中可能会因为各种原因遭遇意外
图片尺寸1200x1600
第三根骨头错位了,还需要动手术吗?
图片尺寸864x1151
脚背疼?可能是痛风!你知道吗?😱
图片尺寸750x970