脚踝扭伤x光图片

术前x光片
图片尺寸4900x5765
后来仔细问一下当时受伤情形,应该是足部处于跖屈状态时受到轴向暴力
图片尺寸2000x2667
骨科精读踝关节扭伤的急救处理临床必备
图片尺寸600x720
询问个案病症,受伤原因,手术情况等具体信息,查看x光片,并对个案进行
图片尺寸720x540
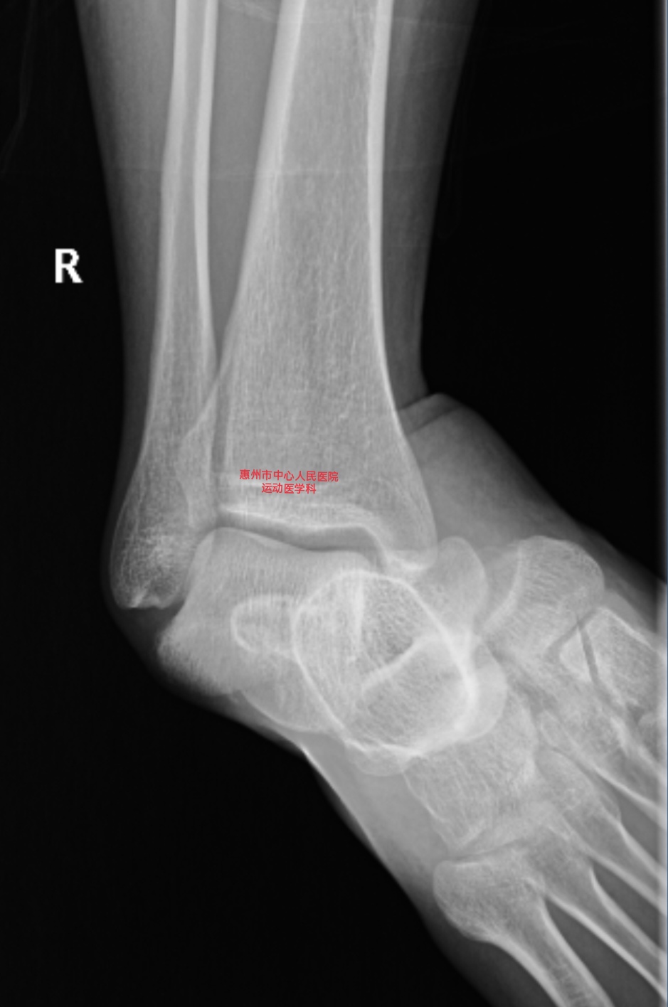
右脚踝扭伤,腓骨骨折,关节移位.请看x光片,谢谢.
图片尺寸600x800
骨科精读踝关节扭伤的急救处理临床必备
图片尺寸602x681
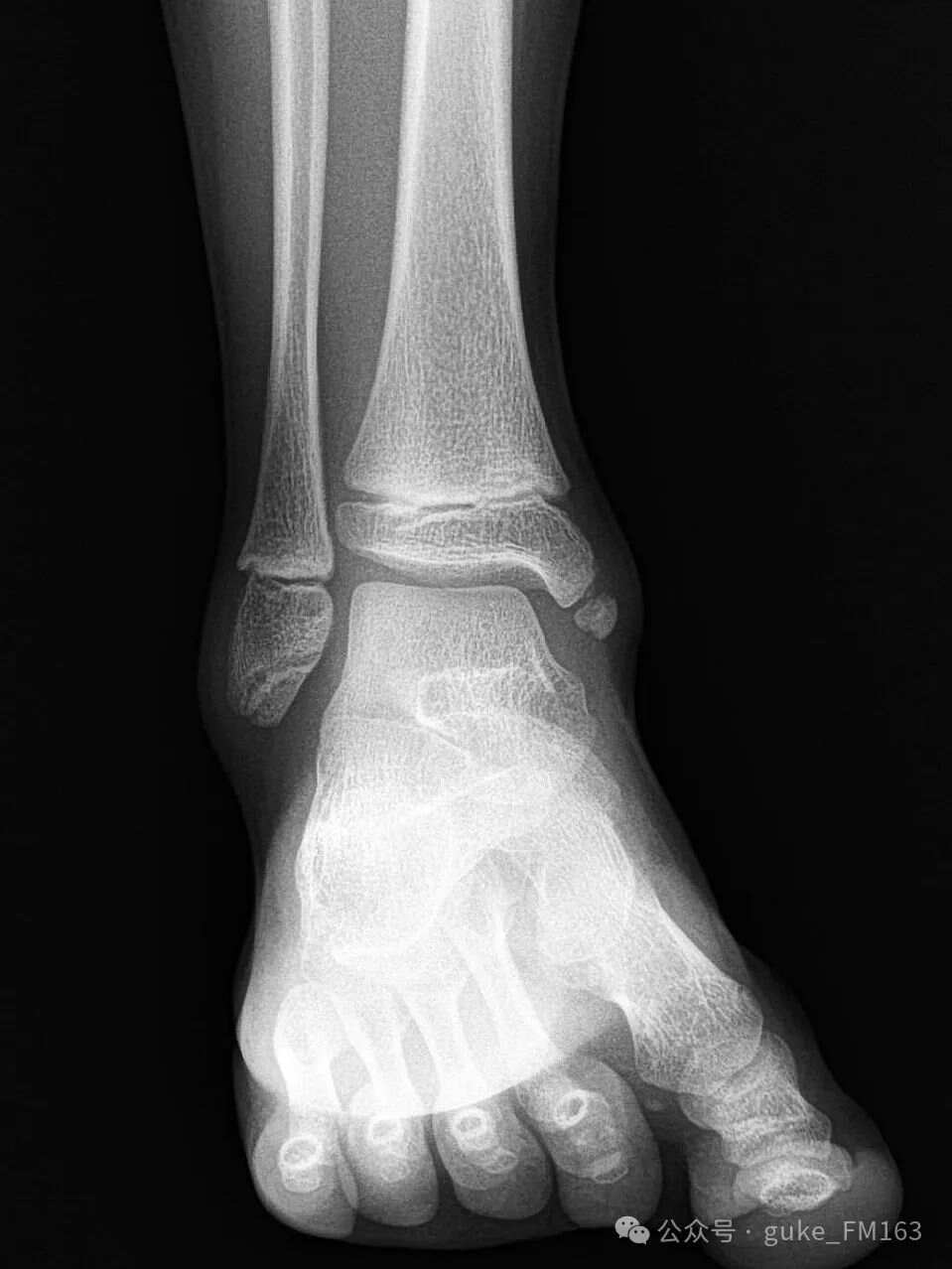
一般的脚踝x光
图片尺寸1280x720
其它 踝关节扭伤处理 写美篇 崴脚后,现场就应该马上进行相关处理.
图片尺寸540x640
脚踝反复扭伤不一定是韧带拉伤——"跟距骨桥"经常也会有类似的表现
图片尺寸1000x750
骨科精读踝关节扭伤的急救处理临床必备
图片尺寸565x720
其它 骨肌群病例讨论 写美篇 基本病史:男孩,踢足球时脚踝扭伤,肿胀.
图片尺寸591x522
询问个案病症,受伤原因,手术情况等具体信息,查看x光片,并对个案进行
图片尺寸720x540
骨科精读踝关节扭伤的急救处理临床必备
图片尺寸650x681
如果在x线或者ct检查明确无骨性结构的损伤,而脚踝又很肿,怀疑软组织
图片尺寸1179x353
00 排球训练时因为不慎弹跳落下时踩到队友脚部,造成脚踝严重扭伤并
图片尺寸344x304
两个多星期前脚扭伤了,现在能正常走路,但是为什么这么久了还不消肿?
图片尺寸1067x1600
问:右脚脚踝扭伤,没破皮,当时马上冰敷了,之后去拍了x光,医生看了说
图片尺寸380x672
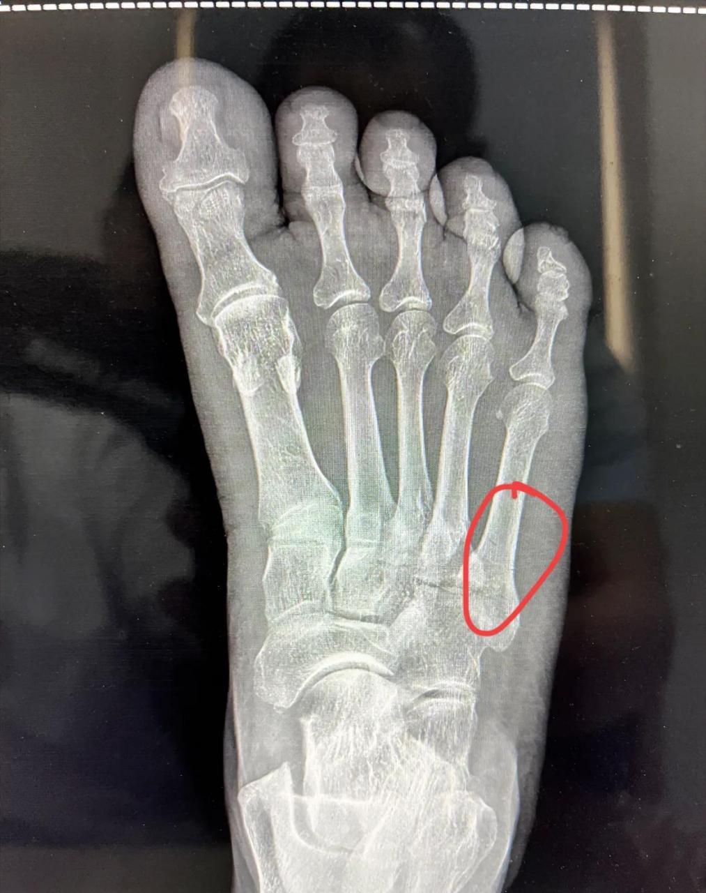
昨晚不小心从楼梯滑倒了,右脚扭伤了,照过x光,疼痛位置一个在脚拇
图片尺寸4095x2300
受伤机制:扭伤 主诉:扭伤致左侧踝关节疼痛伴活动受限4小时.
图片尺寸1080x1080
骨科精读踝关节扭伤的急救处理临床必备
图片尺寸632x720