脚踝骨折变形

右脚踝撕脱性骨折
图片尺寸1382x2048
微创手术治疗踝关节骨折伴脱位一例
图片尺寸4032x3024
右脚踝扭伤,腓骨骨折,关节移位.请看x光片,谢谢.
图片尺寸960x1280
踝关节骨折手术治疗1例
图片尺寸1600x1200
我的脚踝二十天前错位了,打了石膏,今天在家拆开一看:整个脚都变形了
图片尺寸780x1052
左脚踝骨折,骨裂,手术上钢板
图片尺寸864x1152
脚踝左腓骨远端骨折月记
图片尺寸3023x3880
脚踝左腓骨远端骨折月记
图片尺寸1184x2017
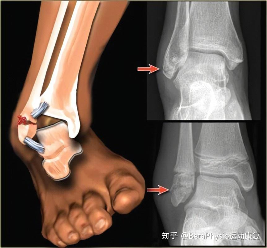
脚踝骨折brokenankle顺德倍他运动康复
图片尺寸863x799
踝关节骨折一例
图片尺寸3024x4032
踝关节骨折术后畸形愈合翻修术
图片尺寸1600x1200
右脚骨折
图片尺寸2210x2618
踝骨骨折
图片尺寸1080x1439
左脚踝骨折,不知怎么治疗?
图片尺寸599x800
右外脚踝骨折 - 知乎
图片尺寸823x1219
踝关节骨折术后畸形愈合翻修术
图片尺寸1600x1200
踝关节骨折术后畸形愈合翻修术
图片尺寸1928x1148![踝关节开放性脱位伴骨折 [病例帖]](https://i.ecywang.com/upload/1/img1.baidu.com/it/u=4289425351,773635224&fm=253&fmt=auto&app=138&f=JPEG?w=500&h=666)
踝关节开放性脱位伴骨折 [病例帖]
图片尺寸500x666
踝关节骨折术后畸形愈合翻修术
图片尺寸1600x1200
脚踝右侧胫骨远端骨折康复历程
图片尺寸1536x2048