脚踝x光图片韧带拉伤

郑州市骨科医院足踝外科 王亚磊 左踝关节外侧副韧带损伤
图片尺寸1198x1598
打篮球脚踝韧带撕裂康复全过程,愿大家远离伤病
图片尺寸1834x2284
左侧踝关节外伤x光
图片尺寸849x1672
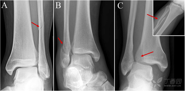
jbjs概念回顾:踝关节下胫腓联合韧带损伤
图片尺寸640x316
x光片
图片尺寸1600x1200
郑州市骨科医院足踝外科 王亚磊 左踝关节外侧副韧带损伤
图片尺寸1198x1598![请骨科战友帮忙看一下左踝关节x线片 [病例帖]](https://i.ecywang.com/upload/1/img1.baidu.com/it/u=1858719188,307383422&fm=253&fmt=auto&app=120&f=JPEG?w=375&h=500)
请骨科战友帮忙看一下左踝关节x线片 [病例帖]
图片尺寸3120x4160
有时候外踝骨折合并下胫腓联合损伤脚踝扭伤后的症状由轻到重各不相同
图片尺寸3264x2448
左脚踝扭伤,请帮我看下x光片
图片尺寸4095x2732
左侧踝关节外伤x光
图片尺寸667x1764
外踝韧带损伤简述
图片尺寸2048x1280
病人踝扭伤住院,核磁报告有三角韧带损伤(没有片子),予以手术治疗,没
图片尺寸500x666
能进一步检查隐匿性骨折或撕脱性骨折mri:可检查肌腱,韧带的损伤肌骨
图片尺寸640x669
脚踝韧带损伤 - 知乎
图片尺寸2048x1536
脚踝扭了,医生看看怎么办
图片尺寸2448x2448
术前正位片子看三角韧带断了吗?需要修复吗?
图片尺寸640x734
左脚踝扭伤,请帮我看下x光片
图片尺寸4095x2732
脚踝扭伤(崴伤)踝关节疼痛,容易被遗忘的角落(附2病例) - 好大夫在线
图片尺寸739x544
踝关节 放射科 骨伤科 x光片 如何
图片尺寸1920x2560
踝关节扭伤处理
图片尺寸540x640