脚骨裂 x光

右足骨折图一第一次拍片图二三是第二次复诊 x光拍片不会看,有的骨又
图片尺寸960x1280
日常漏诊系列—02:脚滑狡猾骨折的x线影像表现
图片尺寸609x535
崴脚骨折第59天了,要多久才能恢复
图片尺寸3468x4624
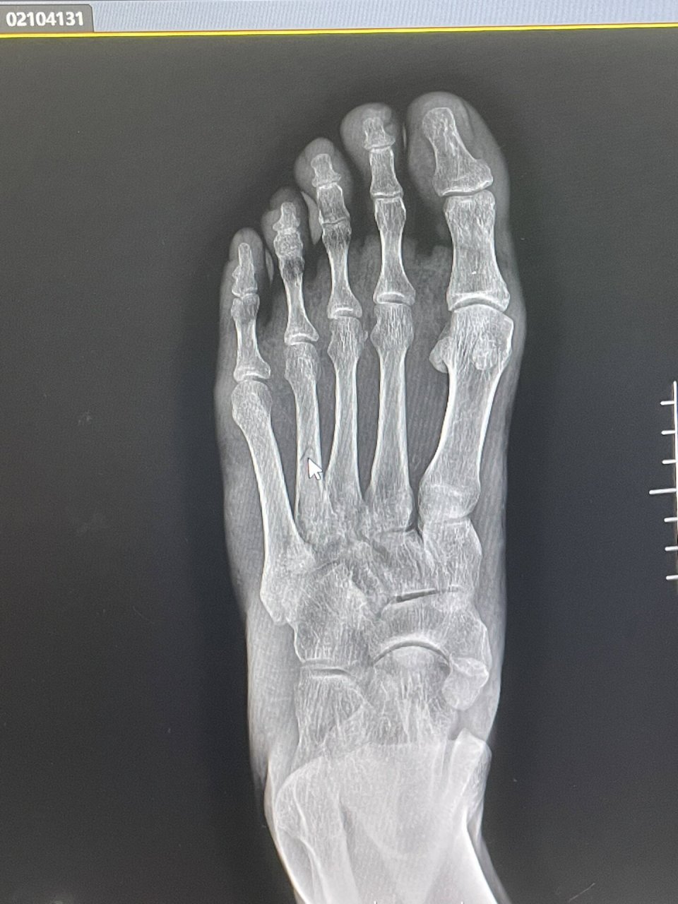
门诊遇到的一例跖骨骨折
图片尺寸3024x4032
门诊遇到的一例跖骨骨折
图片尺寸3024x4032
12岁扭伤2小时,哪里有问题?#图文来了 #图文 #骨折 # - 抖音
图片尺寸1440x1920
脚掌骨折康复记录之第一周 1月4日骨折,诊断结果是第二第四跖骨两处均
图片尺寸960x1280
p>左外踝骨折33天 br>复查,骨头没有怎么长,求问可以吃钙片吗,脚还是
图片尺寸1280x1706
木与子 的想法: 记录左脚骨折全过程 | 3月19号中午上班时不慎脚一滑
图片尺寸1080x1372
内踝骨折伴距骨外脱位非手术治疗
图片尺寸3072x4096
门诊遇到的一例跖骨骨折
图片尺寸3024x4032
第四跖骨基底骨折请问需要打石膏么, 片子出来了,医生下班了
图片尺寸1280x1706
胫腓骨螺旋骨折 折友们,看这最新的x光,是不是长骨痂了哇,目前骨折4个
图片尺寸1920x2560
了七天,第14天的时候检查出骨折,带上支具,第40天的时候去复查x光片
图片尺寸1920x2560
病例讨论丨2-4跖骨骨折切开复位克氏针固定
图片尺寸1198x1679
祸不单行,一不小心把脚弄骨折了,成人的世界里,没有容易二字
图片尺寸1440x3196
左脚第5跖骨骨折恢复记录 - 知乎
图片尺寸3007x3380
第五趾骨基底骨折一个月
图片尺寸1920x2560
跖骨骨折第42天
图片尺寸1279x1706
第一跖骨骨折,严不严重啊?
图片尺寸1920x2559