脱钙骨切片

实验研究快速脱钙骨组织病理切片台盼蓝伊红染色方法研究
图片尺寸640x1889
骨组织脱钙
图片尺寸726x525
脱钙后的切片:用微波和超声波脱钙,是一个好办法,一般50℃温度,微波
图片尺寸579x653
求助:股骨脱钙做石蜡切片ihc苏木素染色之后骨髓腔整片蓝染,见不到
图片尺寸4000x3000
高教科研专业生物切片 脱钙骨横切生物切片 显微镜玻璃片细胞清晰
图片尺寸800x800
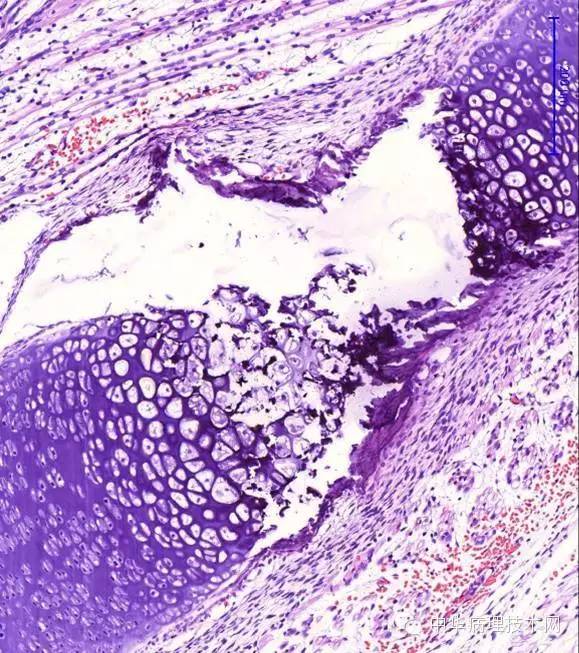
脱钙是骨组织切片前的重要环节,好的脱钙处理要求既能完全脱钙,又不
图片尺寸850x486
同种异体骨脱钙骨基质北京鑫康辰
图片尺寸800x533
看看正常骨切片
图片尺寸419x338
骨组织病理骨组织脱钙的注意事项
图片尺寸420x279
可诱导冻干脱钙骨-dbm骨块
图片尺寸300x300
【求助】不脱钙骨组织切片染色的图片分析
图片尺寸1391x1039
edta螯合脱钙液 用于骨组织切片染色前的脱钙
图片尺寸300x299
取出的脱钙骨
图片尺寸361x500
不脱钙骨切片
图片尺寸768x638
脱钙是骨组织切片前的重要环节,好的脱钙处理要求既能完全脱钙,又不
图片尺寸778x496
可注射明胶原位水凝胶作为脱钙骨基质粉末输送载体可行性的初步研究
图片尺寸2756x1594
安全无害的连接基质,而这种基质就是之前提到的成骨诱导成分,叫做脱钙
图片尺寸800x1157
同种异体骨,脱钙骨基质(北京鑫康辰)
图片尺寸800x533
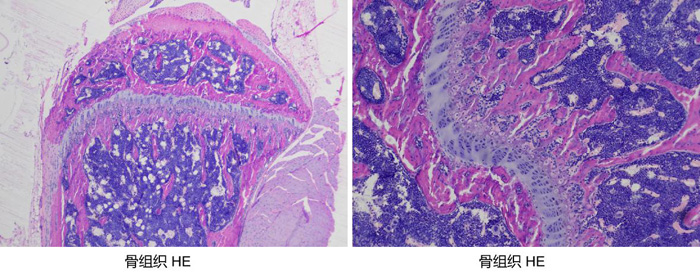
未脱钙骨硬组织切片染色
图片尺寸700x273
实验研究快速脱钙骨组织病理切片台盼蓝伊红染色方法研究
图片尺寸640x553