脾动脉ct

病例脾动脉瘤1例ct影像表现
图片尺寸640x640
no 脾门 no 脾动脉干
图片尺寸1080x810
【病例】脾动脉瘤1例ct影像表现
图片尺寸736x896
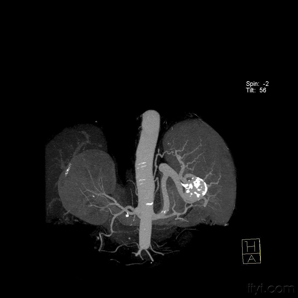
典型脾脏动脉瘤三维重建
图片尺寸968x968
病例脾动脉瘤1例ct影像表现
图片尺寸640x640
脾动脉栓塞术后的影像表现
图片尺寸561x828
病例脾动脉瘤1例ct影像表现
图片尺寸640x640
典型脾脏动脉瘤三维重建
图片尺寸968x968
其它 脾动脉瘤一例 写美篇2018-11-07 腹部增强ct: 2018-11-17 出院
图片尺寸1906x1558
【共享】基层医院平扫经手术证实为脾动脉瘤一例.
图片尺寸709x1380
典型脾脏动脉瘤三维重建
图片尺寸968x968
典型脾脏动脉瘤三维重建
图片尺寸968x968
脾动脉介入治疗栓塞术
图片尺寸2667x2000
典型脾脏动脉瘤三维重建
图片尺寸968x968
典型脾脏动脉瘤三维重建
图片尺寸968x968
腹部疾病ct知识1课件.ppt
图片尺寸960x720
其它 脾动脉瘤一例 写美篇2018-11-07 腹部增强ct: 2018-11-17 出院
图片尺寸1985x1604
脾动脉介入治疗栓塞术
图片尺寸2000x2667
腹部ct解剖图示ppt
图片尺寸1080x810
拆除肚子里的"定时炸弹"_动脉瘤_介绍_症状表现_治疗方式 - 好大夫
图片尺寸546x596