脾曲综合征

结肠脾曲综合症doc1页
图片尺寸792x1120
脾曲综合征
图片尺寸683x434
这是结肠脾曲综合症吗
图片尺寸1600x1200
间位结肠综合征结肠脾曲综合征doc4页
图片尺寸792x1120
丁香园论坛
图片尺寸627x727
横结肠脾曲综合征
图片尺寸970x1372
第3节 高等动物的内分泌系统与体液调节(第2课时)ppt
图片尺寸1080x810
方法:收集自1998年~2008年于我院确诊的结肠脾曲综合征引起胸背疼痛
图片尺寸970x1362
下图是一位急性胰腺炎的37岁男性患者的钡剂灌肠图像,可见结肠脾曲处
图片尺寸340x415
也可表现为胃胀气,脾曲综合征,肝曲综合征等局限性胀气.
图片尺寸1005x669
教学片4-消化系统1-2
图片尺寸1080x810
多脾综合征
图片尺寸582x502
第一章第六节泌尿与生殖系统
图片尺寸1080x1243
做了ct检查,发现结肠脾曲有一个占位,导致肠管梗阻,大便无法通过,初步
图片尺寸474x254
脾先天变异多脾综合征
图片尺寸439x421
尤其在横结肠脾曲段,首先要考虑到急性胰腺炎的可能,如果没有相应临床
图片尺寸640x516
结肠镜检查的11个重要指征是什么? - 知乎
图片尺寸486x484
结肠肝曲综合征症状
图片尺寸798x450
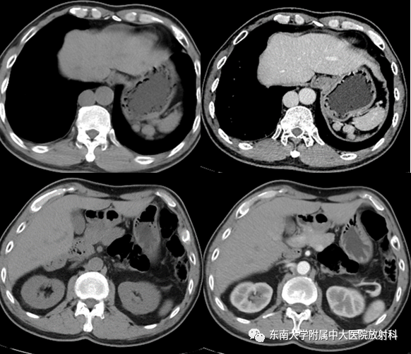
surgery:结肠脾曲肠扭转——咖啡豆 漩涡征
图片尺寸562x614
间位结肠综合征ppt课件
图片尺寸800x600