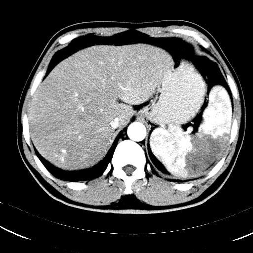
脾梗死

脾梗死
图片尺寸512x512
脾梗死的凝固性坏死大体
图片尺寸504x330
脾梗死的影像诊断及鉴别
图片尺寸1080x608
脾梗死
图片尺寸512x512
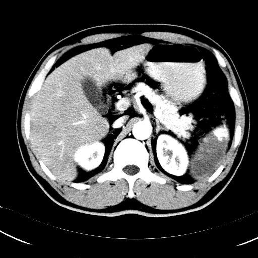
脾梗死典型
图片尺寸512x512
脾梗死早期ct检查可见低密度阴影,其典型的形态为a.新月形b.
图片尺寸500x336
脾梗死_脾切除手术_脾切除手术检查 - 好大夫在线
图片尺寸512x512
脾梗塞ct图像
图片尺寸640x480
经典病例请您参与会诊(脾梗死)
图片尺寸476x357
生物病理显微镜切片脾梗死标本白底显微摄影教学素材
图片尺寸1200x800
脾梗死
图片尺寸512x512
复杂门静脉高压症4(门静脉广泛血栓 急性脾梗死) - 好大夫在线
图片尺寸2272x1504
脾梗死
图片尺寸512x512
脾梗死_脾切除手术_脾切除手术检查 - 好大夫在线
图片尺寸512x512
脾梗死
图片尺寸1034x788
光镜下脾梗死活检
图片尺寸1200x801
病例与文献复习:脾脏急诊之脾梗死
图片尺寸1080x608
病例与文献复习:脾脏急诊之脾梗死
图片尺寸1080x608
超声典型病例,脾梗死#学习使人进步 - 抖音
图片尺寸1440x1920
贫血性梗死的出血性梗死
图片尺寸1126x742