脾梗死图片

脾梗死_脾切除手术_脾切除手术检查 - 好大夫在线
图片尺寸512x512
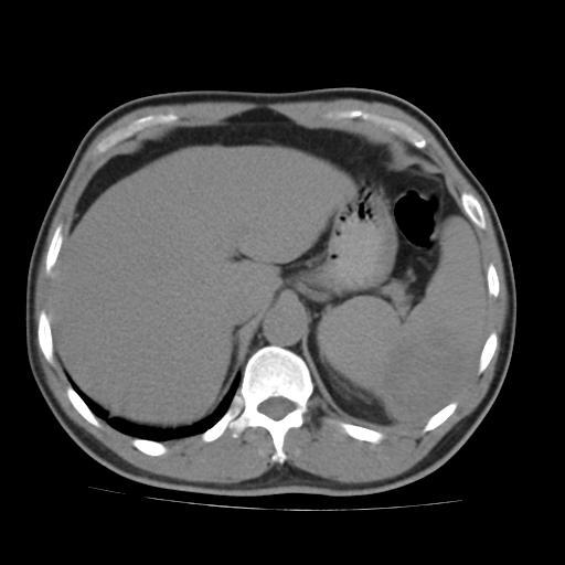
脾梗死早期ct检查可见低密度阴影,其典型的形态为a.新月形b.
图片尺寸500x336
脾梗死典型
图片尺寸512x512
脾梗死_脾切除手术_脾切除手术检查 - 好大夫在线
图片尺寸512x512
超声典型病例,脾梗死#学习使人进步 - 抖音
图片尺寸1440x1920
光镜下脾梗死活检
图片尺寸1200x801
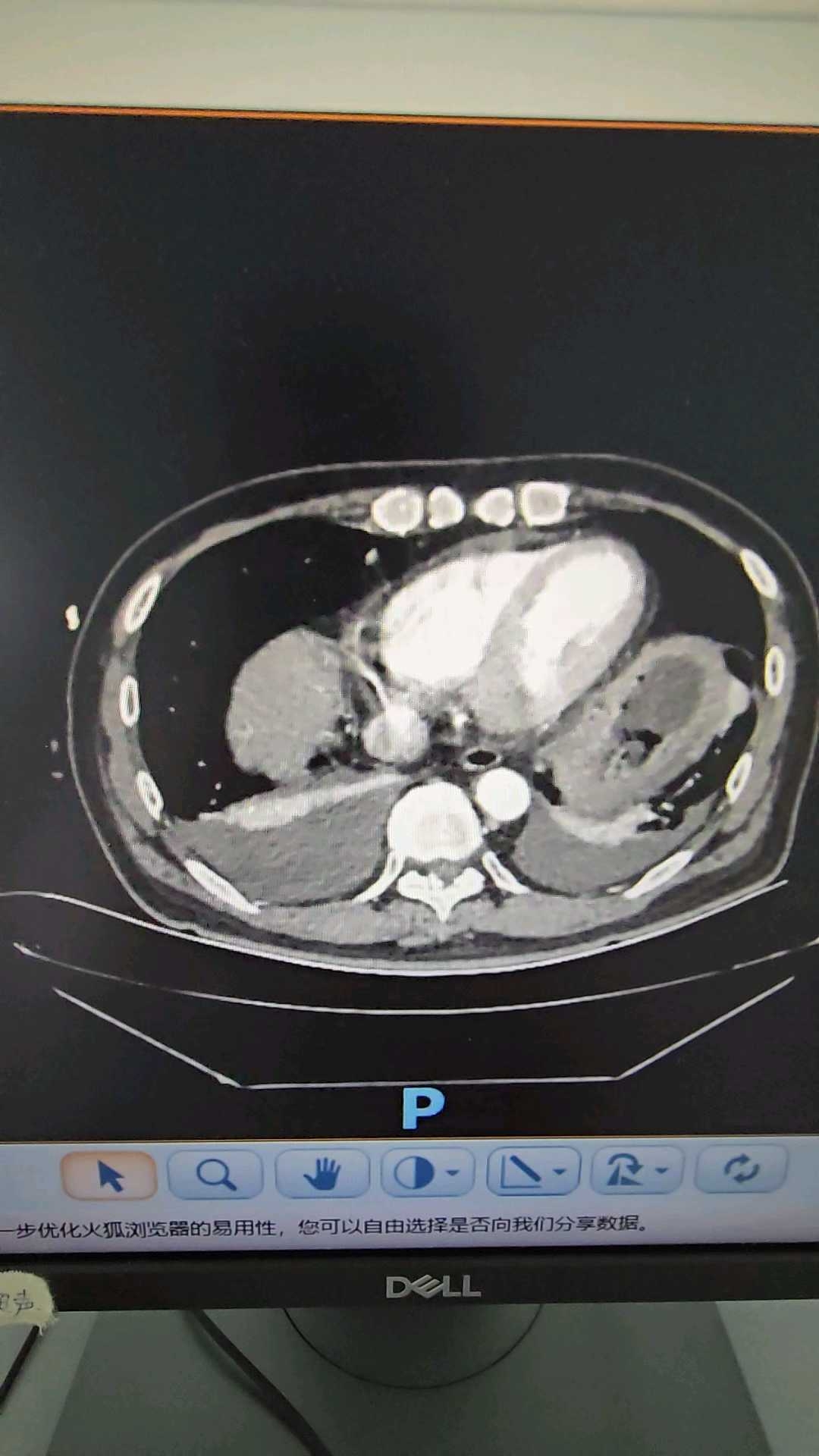
脾梗塞ct图像
图片尺寸640x480
脾梗死_脾切除手术_脾切除手术检查 - 好大夫在线
图片尺寸512x512
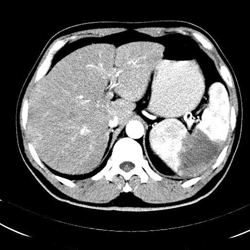
脾梗死
图片尺寸1034x788
脾梗死
图片尺寸512x512
病理学实验考核复习标本.ppt
图片尺寸800x600
病例脾梗死1例ct影像表现
图片尺寸640x480
脾脏符合梗塞后改变患者有房颤,未抗凝,脾动脉栓塞致脾梗死,脾脏自发
图片尺寸512x512
脾梗死的凝固性坏死大体
图片尺寸504x330
脾梗死一例
图片尺寸1080x1920
第六章 腹部 第五节 脾脏病变 五,脾梗死丨精品连载
图片尺寸1116x930
第六章 腹部 第五节 脾脏病变 五,脾梗死丨精品连载
图片尺寸1164x928
光镜下脾梗死活检
图片尺寸1200x801
光镜下脾梗死活检
图片尺寸1200x801
病理学实验课件:02-损伤的修复
图片尺寸920x690