脾脏红髓

红髓
图片尺寸465x385
脾红髓 脾索,脾窦
图片尺寸1080x810
红髓
图片尺寸268x189
脾lm,x100 (示动脉周围淋巴鞘) 中央动脉 淋巴小结 红髓 被膜
图片尺寸1080x810
3×4脾(spleen)是最大的淋巴器官,主要由红髓(▲),白髓(△)构成,条索
图片尺寸1368x1094
红髓:为白髓输送抗原抗体脾脏血运丰富脾破裂大出血:休克
图片尺寸1088x608
红髓主要由脾血窦和脾索组成,红髓内血流缓慢,能够使抗原与吞噬细胞
图片尺寸640x360
脾脏病变mri表现
图片尺寸960x720
脾脏实质分为白髓和红髓(图9-6).
图片尺寸891x903
倍放大后图像显示,在红色圆圈内和黄色圆圈内分别看到脾脏组织的红髓
图片尺寸510x520
微博
图片尺寸321x508
脾是人体最大的外周免疫器官.脾实质由白髓,红髓和边缘区组成.
图片尺寸907x593
红髓 c.脾窦 d.动脉周围淋巴鞘 e.脾小梁
图片尺寸700x646
多图│教您识别毛细胞白血病
图片尺寸620x620
组织学检查,该处结节有纤维组织包裹,形态学为正常脾脏实质,可见红
图片尺寸640x466
无忧文档 所有分类 医药卫生 基础医学 淋巴造血系统疾病 红髓:脾索
图片尺寸893x314
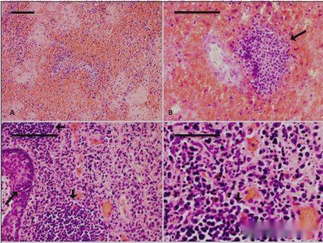
脾脏红髓和白髓大面积出血,坏死,淋巴细胞减少; b.
图片尺寸471x355
脾脏内有很多血窦,贮存大量血液,脾脏内还有红髓,也有贮血功能.
图片尺寸553x370
图像名称副脾
图片尺寸550x362
科学家发现维持脾脏红髓巨噬细胞的微环境
图片尺寸996x996