脾血窦图片

红髓主要由脾血窦和脾索组成,红髓内血流缓慢,能够使抗原与吞噬细胞
图片尺寸640x360
脾血窦结构示意图
图片尺寸295x258
plsene 55---� %---5t生 中心 脾发索 celbl, ,md)c (淋滤泡) 巴
图片尺寸1080x810
脾索与脾血窦模式图
图片尺寸438x318
脾红髓 脾索,脾窦
图片尺寸1080x810
肺血窦
图片尺寸758x568
病理学红蓝铅笔绘图166
图片尺寸1033x894
1为中央静脉 b,标记2为小叶间胆管 c,标记3为肝细胞 d,标记4为肝血窦
图片尺寸890x596
脾窦(splenic sinus):血窦,内皮细胞为长杆状,细胞间有裂隙,基膜
图片尺寸893x314
血窦
图片尺寸1080x810
边缘区和红髓三部分;脾内无淋巴窦,但有大量的血窦(图9-18)脾为人体最
图片尺寸335x325
中央静脉中央静脉位于肝小叶中央,是肝血窦在肝小叶中轴汇集成的一条
图片尺寸587x449
脾光镜像,请判断图中4所示的是何种结构.()
图片尺寸462x333
血窦是什么?应该怎么治疗?
图片尺寸392x369
脾是一个具有被膜并富含血管的巨大淋巴组织团块,位于腹腔的左上后区
图片尺寸1080x551
胆汁的产生及排泄途径pptppt
图片尺寸860x645
白髓 b.红髓 c.脾窦 d.动脉周围淋巴鞘 e.脾小梁
图片尺寸700x931
脾脏窦岸细胞血管瘤影像诊断
图片尺寸1080x608
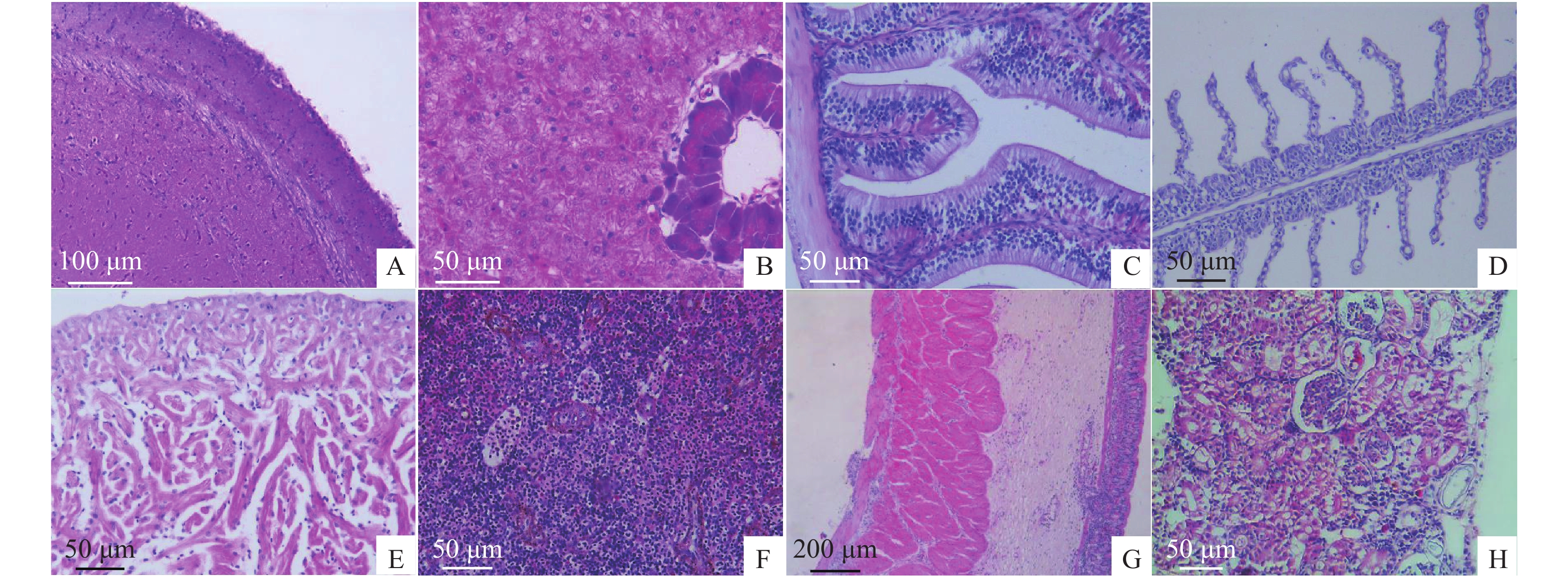
肝脏,肝细胞轻微肿胀;c. 肠道;d. 鳃;e. 心脏;f. 脾脏,脾血窦充血;g.
图片尺寸3150x1165
血窦样结构,管壁较厚.20
图片尺寸750x563