脾贫血性梗死

图3-4-2 脾贫血性梗死
图片尺寸1080x810
脾贫血梗死
图片尺寸1080x1440
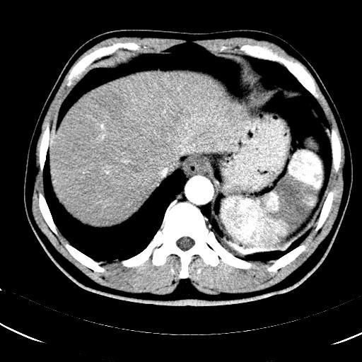
脾梗死
图片尺寸512x512
病理学实验考核复习标本.ppt
图片尺寸800x600
大学生 #珍爱生命珍爱自己 #身体健康比什么都重要 #愿 - 抖音
图片尺寸1440x1920
脾贫血性梗死
图片尺寸402x328
求脾贫血性梗死的镜下图或者手绘图
图片尺寸1707x1280
脾梗死
图片尺寸512x512
9号片,肾贫血性梗死
图片尺寸1080x810
病理图谱4ppt.ppt
图片尺寸1152x864
脾贫血性梗死生物切片人体病理切片显微镜配套生物切片
图片尺寸800x800
脾梗死
图片尺寸512x512
脾梗死典型
图片尺寸512x512
脾贫血性梗死
图片尺寸640x420
脾脏梗死(早期)?淤血?
图片尺寸965x724
脾梗死
图片尺寸512x512
脾梗死
图片尺寸1034x788
脾梗死
图片尺寸512x512
病理学实验课件:02-损伤的修复
图片尺寸920x690
脾梗死
图片尺寸512x512