腓骨远端

右外踝(腓骨远端)骨折康复记录 - 知乎
图片尺寸1080x1016
脚踝(左腓骨远端)骨折月记 - 知乎
图片尺寸1184x2017
青少年胫腓骨远端骨折的手术治疗 - 好大夫在线
图片尺寸1185x1600
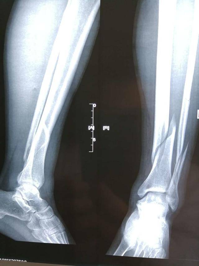
请问此腓骨远端有没有问题 - 医学影像学讨论版 - 爱爱医医学论坛
图片尺寸2424x3069
微创接骨板接骨术(mipo)在胫腓骨远端骨折中的应用 - 美篇
图片尺寸1080x810
一例胫腓骨远端骨折下胫腓联合分离病例 - 骨科与显微外科专业讨论版
图片尺寸887x1920
腓骨骨折需要手术吗?_胫腓骨骨折_胫腓骨骨折治疗方式 - 好大夫在线
图片尺寸801x675
蔡春保 胫腓骨远端 - 美篇
图片尺寸4032x3024
腓骨胫骨解剖示意图-人体解剖图,_医学图库
图片尺寸583x721
一例 儿童 胫腓骨远端 骨骺损伤 ,大家看看 - 骨科专业讨论版 -丁香园
图片尺寸2832x2920
儿童踝部骨折 - 美篇
图片尺寸2413x1800
脚踝(左腓骨远端)骨折月记 - 知乎
图片尺寸1184x1872
双下肢斜位ct扫描显示右侧胫腓骨远端骨折,左侧跟骨孤立,背景为黑色.
图片尺寸922x1200
专家级髓内钉治疗胫腓骨远端骨折可以做到极致_手机搜狐网
图片尺寸640x853
右胫腓骨远端骨折-病例讨论-唯医,allinmd
图片尺寸1470x1960
南京邦德骨科医院创伤九病区 - 美篇
图片尺寸1500x1498
胫腓骨远端双侧骨折,不知道多久能重回绿茵.现在已...|懂球帝
图片尺寸720x541
一例严重的胫腓骨远端粉碎骨折 - 好大夫在线
图片尺寸3024x4032
脚踝(左腓骨远端)骨折月记 - 知乎
图片尺寸3024x4032
中西医结合治疗右胫腓骨远端骨折-医联
图片尺寸683x748