腔梗位置图片

喉阻塞的介绍
图片尺寸300x285
腔隙性脑梗死不马上输活血化瘀药就会加重医生辟谣讲腔梗
图片尺寸640x760
"腔梗"过,经常要疏通血管吗? - 知乎
图片尺寸1025x625
兄弟萌请问如果你吃饭时候想吐却又吐不出来可以用开塞露解决吗?
图片尺寸1084x823
发现了腔梗要紧吗
图片尺寸246x283
腔梗和脑梗是什么? - 知乎
图片尺寸650x614
腔隙性脑梗塞
图片尺寸502x500
腔梗是什么病
图片尺寸500x714
腔隙性脑梗死
图片尺寸397x452
经常呕吐是怎么回事呕吐背后的信号有哪些
图片尺寸400x300
腔梗到底是个什么梗张医生教你如何预防
图片尺寸641x401
腔梗后遗症
图片尺寸358x314
什么是腔梗「记得收藏」
图片尺寸1080x879
腔隙性脑梗能够调好吗?
图片尺寸1548x1280
腔隙性脑梗死
图片尺寸784x822
小区大妈大爷说"多发腔梗"引起头疼.这是真的吗?_头痛症状
图片尺寸2015x1916
体检时查出腔梗怎么办人为什么会得腔梗一文说清
图片尺寸640x419
图说解剖腔梗引起纯感觉性症状定位在哪里
图片尺寸900x614
ct牌腔梗0.jpg
图片尺寸1600x658
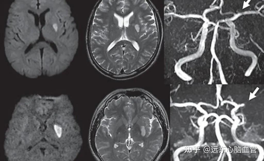
腔梗和脑梗是什么? - 知乎
图片尺寸650x874