腔隙

每天都在说双侧基底节区腔隙性脑梗塞 你真的彻底了解"什么是基 - 抖
图片尺寸1280x959
肌腔隙及血管腔隙解剖图-人体解剖图
图片尺寸887x407
neurology:mri的腔隙,慢性微梗死和微出血是怎么形成的?
图片尺寸558x1206
肌腔隙及血管腔隙解剖图-人体解剖图
图片尺寸600x357
腔隙性脑梗死
图片尺寸397x452
肌腔隙和血管腔隙
图片尺寸120x100
蛛网膜囊肿:是脑脊液在蛛网膜和软脑膜之间的腔隙内 - 抖音
图片尺寸880x1728
腔隙性脑梗塞后遗症 (自然人类学)
图片尺寸358x314
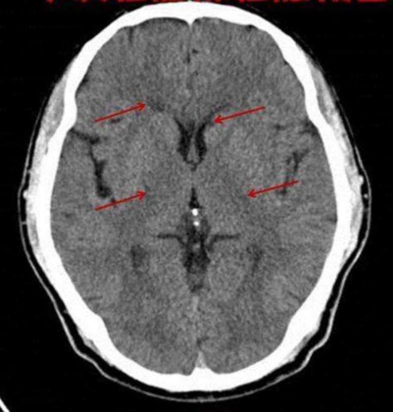
腔隙性脑梗死
图片尺寸784x822
体检报告上的腔隙性脑梗塞小缺血灶到底是什么如何治疗
图片尺寸469x323
腔隙性脑梗死
图片尺寸784x592
(图) 肌腔隙和血管腔隙
图片尺寸1432x888
腔隙性脑梗能够调好吗?
图片尺寸1548x1280
腔隙性脑梗塞影响生活质量吗_百度视频搜索
图片尺寸352x234
多发腔隙性脑梗塞症状
图片尺寸500x524
体检查出腔隙性脑梗是脑梗死吗专家提示五大危险因素需早控
图片尺寸418x215
vr腔隙腔梗灶微出血脱髓鞘傻傻分不清快看这里
图片尺寸660x375
如图所示,关于腹股沟部位肌腔隙与血管腔隙的描述,下列正确的是().
图片尺寸237x210
该患者腔隙性梗死示意图,患者病灶位于内侧丘系处(绿色),而脊髓
图片尺寸640x402
腔隙性脑梗死,看我七十二变
图片尺寸638x638