腕关节DR

右腕关节x线平片和侧位片
图片尺寸1200x793
放射医学影像科赵钰获中华医学会影像医学分会腕关节dr摄影大赛三等奖
图片尺寸900x521
黄庄乡中心卫生院新引进~全新数字化摄影dr
图片尺寸1200x1600
腕部下尺桡关节损伤 druj— 之一 临床表现_手外伤_介绍_症状表现
图片尺寸869x1016
腕关节x线图像.
图片尺寸1073x1200
拍片示:右桡骨远端粉碎性骨折,关节面不平.
图片尺寸1200x1600
腕关节三角软骨损伤典型案例 - 好大夫在线
图片尺寸640x853
门诊给予腕关节dr片
图片尺寸1200x1600
腕关节-x线解剖ppt参考课件
图片尺寸1080x810
【讨论】腕关节病变,比较典型.
图片尺寸1430x1140
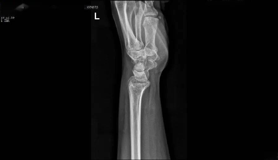
入院后行右尺桡骨dr片提示:右桡骨远段骨折,远端尺桡关节脱位.
图片尺寸3000x4000![【读片】腕关节脱位 [病例帖]](https://i.ecywang.com/upload/1/img1.baidu.com/it/u=1196719720,493310107&fm=253&fmt=auto&app=138&f=JPEG?w=500&h=500)
【读片】腕关节脱位 [病例帖]
图片尺寸640x640
放射医学影像科赵钰获中华医学会影像医学分会腕关节dr摄影大赛三等奖
图片尺寸900x521
少见腕关节损伤1例
图片尺寸1932x2576
左腕关节病变
图片尺寸1256x1256
腕关节x线片,正位片和侧位片.
图片尺寸1100x1135
腕关节
图片尺寸498x500
腕关节x线解剖
图片尺寸800x600
患者术前dr在详细制定手术方案,充分做好术前准备,完善相关辅助检查后
图片尺寸1080x799
到中医院就诊后,腕关节dr片诊断为:右腕舟骨骨折.
图片尺寸431x373