腹主动脉瘤ct

巨大腹主动脉瘤一例
图片尺寸1280x960
典型腹主动脉瘤cta影像表现
图片尺寸549x732
腹主动脉瘤
图片尺寸1080x810
"不定时炸弹"——腹主动脉瘤-医院新闻-新闻中心-重庆市急救医疗中心
图片尺寸870x706
手术治疗三例腹主动脉瘤
图片尺寸2000x2667
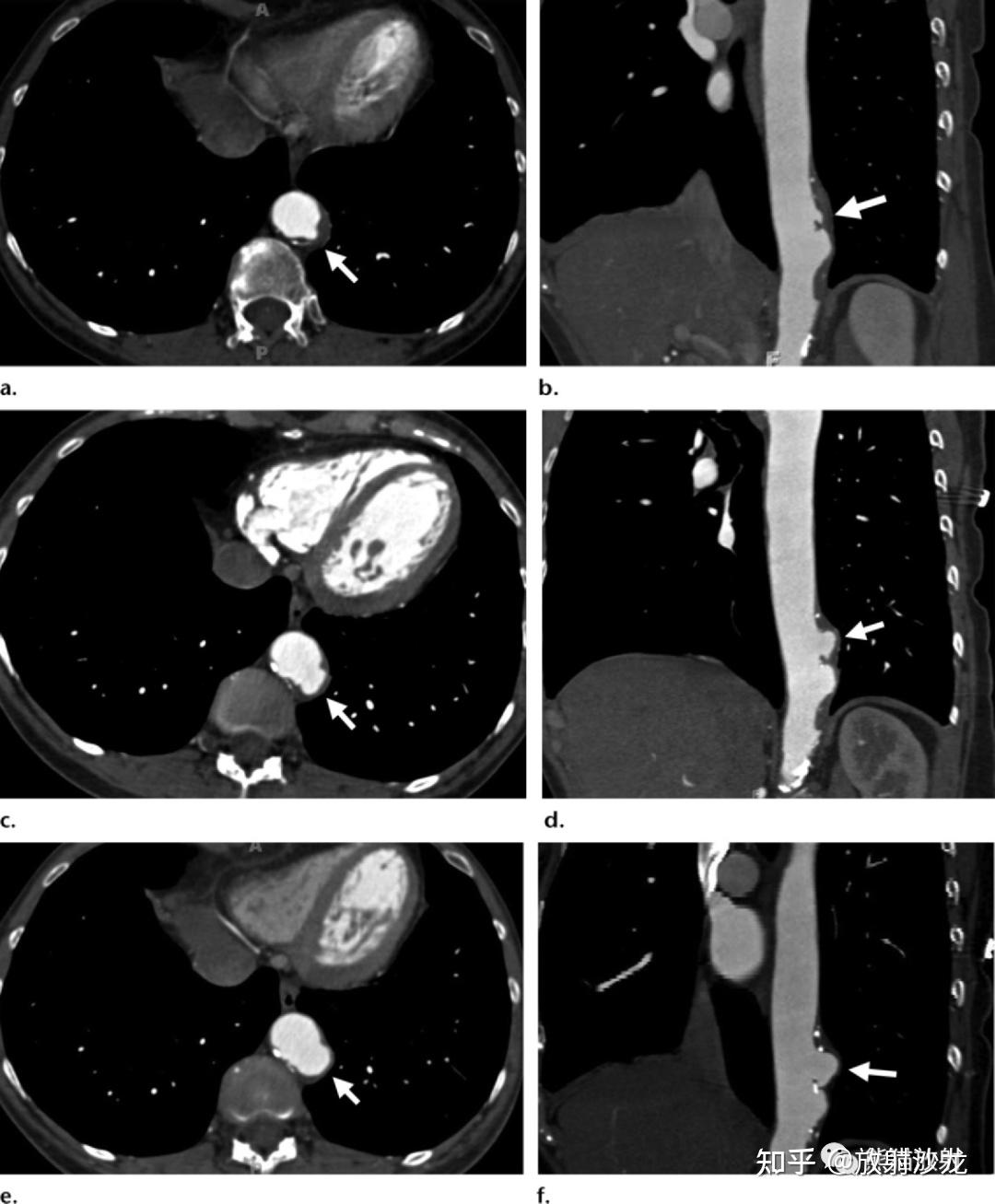
腹主动脉瘤的随访哪些ct征象提示其不稳定性
图片尺寸1080x904
腹主动脉瘤筛查,一项关乎生命的寻弹行动!
图片尺寸960x1280
腹主动脉夹层动脉瘤
图片尺寸1199x1599
腹主动脉瘤的随访哪些ct征象提示其不稳定性
图片尺寸1080x1307
破裂腹主动脉瘤腔内治疗一例
图片尺寸1205x591
肠系膜上动脉栓塞合并腹主动脉瘤处置体会
图片尺寸2000x2667
手术治疗三例腹主动脉瘤
图片尺寸2000x2667
【医院动态】我院介入科开展腹主动脉瘤腔内介入修复术
图片尺寸1269x1692
破裂腹主动脉瘤开放手术 术者 吴华平 张利 李想
图片尺寸750x1335
腹主动脉瘤
图片尺寸4032x2016
腹主动脉瘤破裂!
图片尺寸1000x1333
巨大腹主动脉瘤一例
图片尺寸1278x1704
量体裁衣——介入科完成首例一体式腹主动脉支架治疗腹主动脉瘤!
图片尺寸1080x1080
腹主动脉瘤 左侧髂动脉瘤
图片尺寸2666x2000
先天性动脉瘤
图片尺寸723x754