腹主动脉瘤ct图片

腹主动脉瘤
图片尺寸1080x810![【病例讨论】超长的腹主动脉夹层动脉瘤,如何治疗 [病例帖]](https://i.ecywang.com/upload/1/img2.baidu.com/it/u=746695477,3287039469&fm=253&fmt=auto&app=138&f=JPEG?w=667&h=500)
【病例讨论】超长的腹主动脉夹层动脉瘤,如何治疗 [病例帖]
图片尺寸1280x960
其它 腹主动脉瘤 写美篇ct 术中标记导管显示长度 术后造影
图片尺寸4032x3024
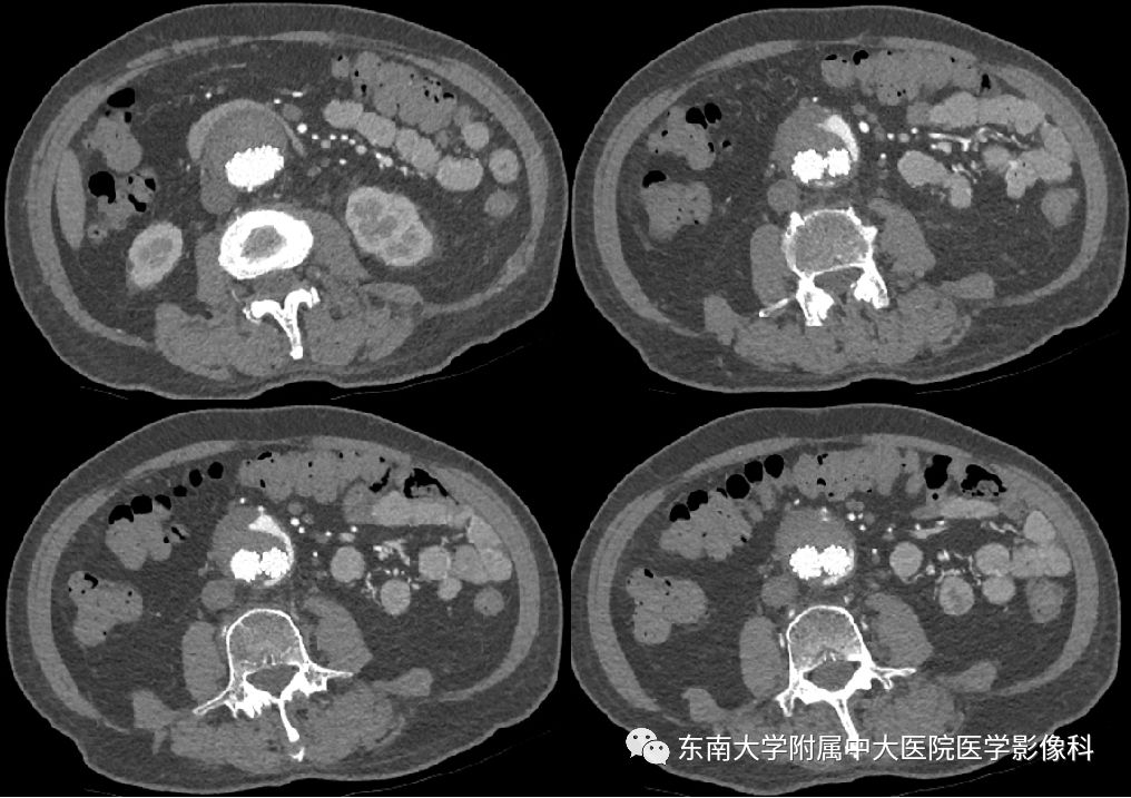
腹主动脉瘤的随访丨哪些ct征象提示其不稳定性
图片尺寸1080x1307
巨大腹主动脉夹层动脉瘤?
图片尺寸3120x4160
典型腹主动脉瘤cta影像表现
图片尺寸549x732
结肠癌穿孔合并腹主动脉瘤诊治体会------病例分享 写美篇 胸部ct及
图片尺寸800x600
破裂腹主动脉瘤腔内治疗一例
图片尺寸1205x591
腹主动脉瘤的随访,哪些ct征象提示其不稳定性?
图片尺寸1080x990
菏泽市立医院心血管外科团队成功抢救破裂性腹主动脉瘤一例
图片尺寸550x364
巨大腹主动脉瘤一例
图片尺寸1280x960
腹主动脉瘤破裂!
图片尺寸1000x1333
急诊胸腹主动脉cta检查可见腹主动脉瘤
图片尺寸1199x1599
先天性动脉瘤
图片尺寸723x754
腹主动脉瘤的随访丨哪些ct征象提示其不稳定性
图片尺寸1080x904
高血压病史,以剧烈腹痛10小时入院,在院外做ct发现腹主动脉瘤,立即转
图片尺寸750x1335
腹主动脉瘤的随访,哪些ct征象提示其不稳定性?
图片尺寸1080x1522
其它 腹主动脉瘤 写美篇患者ct 术后造影
图片尺寸4032x3024
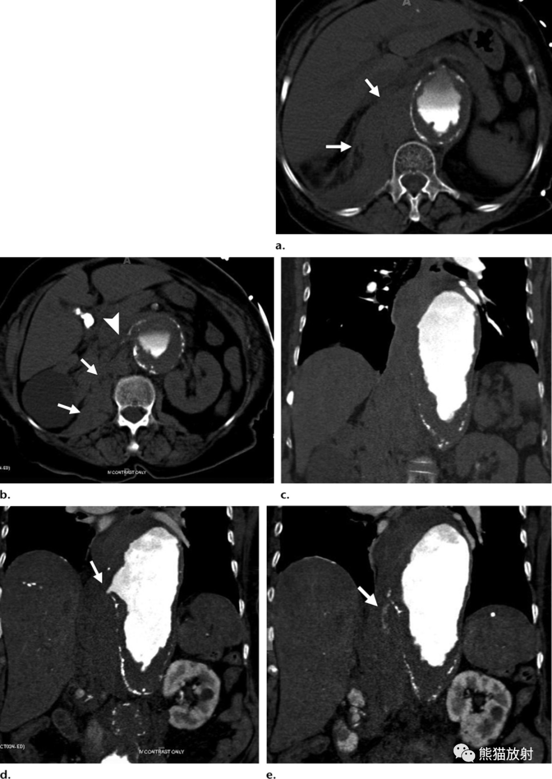
腹主动脉瘤腔内修补及术后随访影像评估
图片尺寸1016x717
近期腹主动脉瘤腔内隔绝术一例
图片尺寸2448x3264