腹主动脉瘤ct表现图

腹主动脉瘤的随访哪些ct征象提示其不稳定性
图片尺寸1080x990
cta显示动脉瘤整体面貌ct断层显示动脉瘤最大直径可达10cm腹主动脉
图片尺寸1278x1704
菏泽市立医院心血管外科团队成功抢救破裂性腹主动脉瘤一例
图片尺寸550x364
图1-术前ct评估,肾下腹主动脉瘤,右髂内开口狭窄,左髂内动脉开口距离
图片尺寸3277x2768
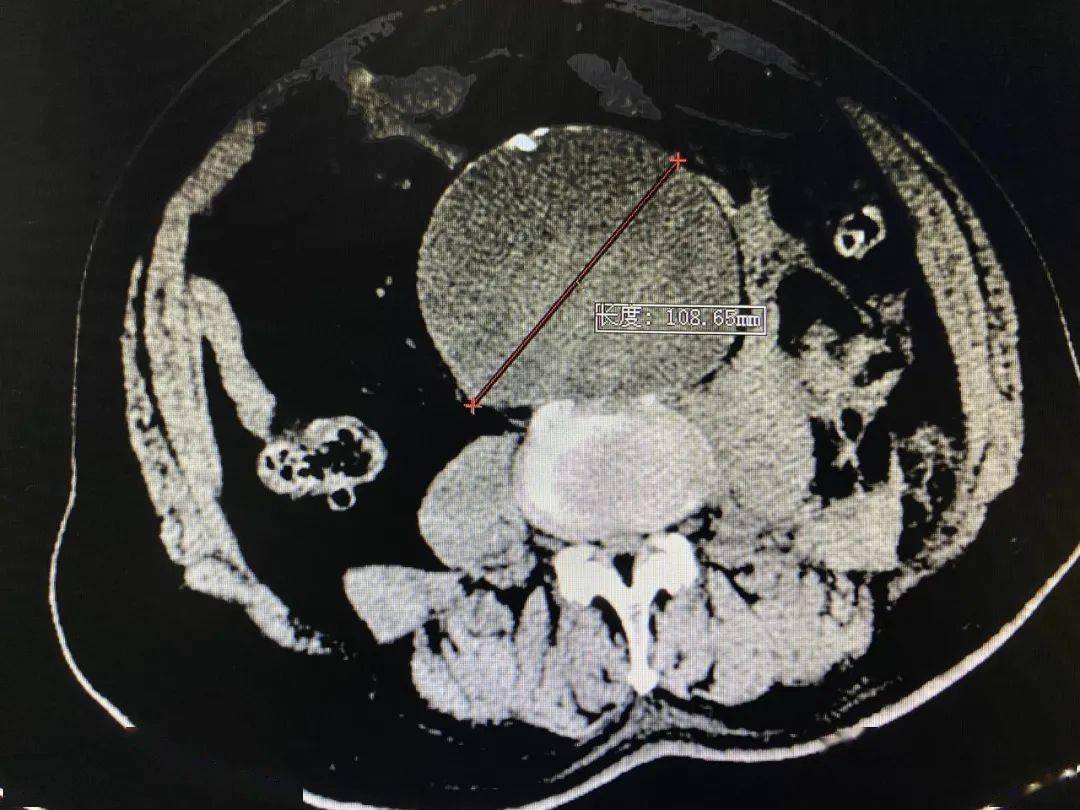
ct如下 腹主动脉瘤测量数据如下
图片尺寸2210x2074
84岁李先生突然感到腹部疼痛难忍,腹部ct平扫显示腹主动脉瘤破裂
图片尺寸1080x810
罕见:胸腹主动脉瘤多层支架置入后血栓形成致死亡一例
图片尺寸640x533
致命性腹痛之腹主动脉瘤破裂出血
图片尺寸699x545
感染性破裂腹主动脉瘤手术治疗
图片尺寸4608x3456
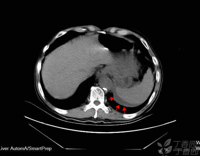
腹主动脉瘤破裂及先兆破裂的ct表现.ppt
图片尺寸920x690
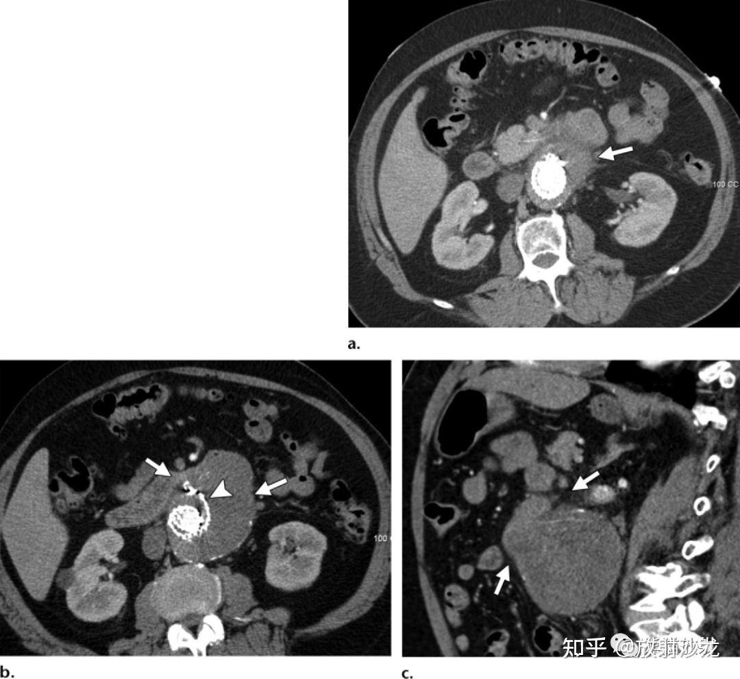
经动脉ct检查发现,腹部包块竟是巨大腹主动脉瘤,双侧髂动脉瘤,瘤体近
图片尺寸513x677
主动脉cta:腹主动脉(l2水平以下)及右侧髂总动脉瘤并附壁血栓,溃疡斑
图片尺寸602x277
后腰下腹突发剧烈疼痛竟是致命的腹主动脉瘤清华长庚血管外科紧急拆弹
图片尺寸731x394
图14 腹主动脉瘤.png
图片尺寸830x343
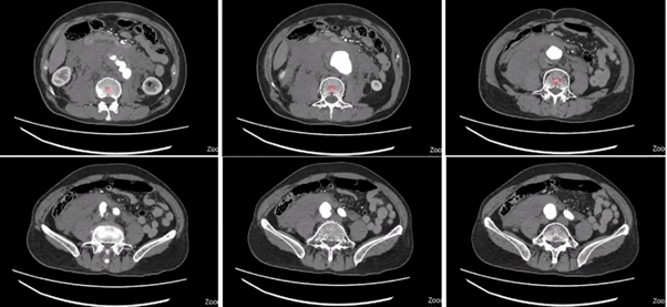
腹主动脉瘤?请各位专家看看.
图片尺寸1176x814
腹主动脉瘤?请各位专家看看.
图片尺寸1176x814
肾动脉狭窄泌尿系统变异肺动脉高清冠状动脉腹主动脉瘤冠状动脉软斑
图片尺寸707x475
高清冠状动脉腹主动脉瘤冠状动脉软斑地址:云县人民医院门诊一楼医学
图片尺寸1080x647
肺动脉高清冠状动脉腹主动脉瘤冠状动脉软斑地址:云县人民医院门诊一
图片尺寸742x379
3d打印辅助治疗复杂胸腹主动脉瘤记
图片尺寸597x967