腹腔出血ct图片

对于显性lgib,ct的主要目的是确定出血位置和评估出血强度,其次是确定
图片尺寸900x1845
还不到正常值一半,腹部高度膨隆,ct显示腹腔大量积液,诊断性腹腔穿刺
图片尺寸514x437
上消化道出血,腹部ct检查
图片尺寸512x666
腹部ct
图片尺寸2089x2566
右侧腹膜后血肿(retroperitoneal hematoma)ct病例分享
图片尺寸600x367
内脏转位门脉高压伴消化道出血1例
图片尺寸1134x1708
突然肚子疼腹腔出血近3000毫升这种情况很多人都忽视
图片尺寸935x701
ct显示大量血性腹腔积液
图片尺寸550x412
右侧腹膜后血肿(retroperitoneal hematoma)ct病例分享
图片尺寸600x344
右侧腹膜后血肿(retroperitoneal hematoma)ct病例分享
图片尺寸600x356
请问这个腹部ct怎么看啊
图片尺寸1080x2400
右侧腹膜后血肿(retroperitoneal hematoma)ct病例分享-medsci.cn
图片尺寸600x373
示:腹腔内一不规则肿块,其内密度不均,ct值平扫为43~66hu,病灶左缘
图片尺寸550x486
示:腹腔内一不规则肿块,其内密度不均,ct值平扫为43~66hu,病灶左缘
图片尺寸552x488
病例32 | 急腹症 | 异位妊娠破裂出血ct表现
图片尺寸900x709
示:腹腔内一不规则肿块,其内密度不均,ct值平扫为43~66hu,病灶左缘
图片尺寸544x474
下消化道出血
图片尺寸4000x3000
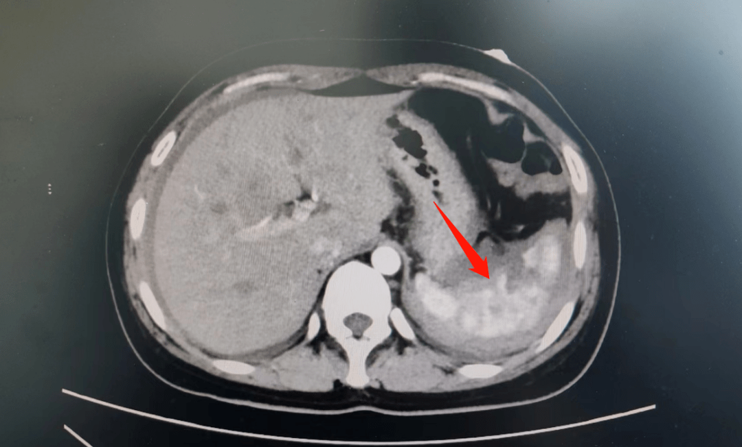
b,腹部ct(10/26):脾破裂,脾周血肿,腹腔大量积液(箭头示);c,腹部ct(11
图片尺寸1080x799
患者肠胃不舒服,做全腹部ct,定位像示右下肺有个病灶,强迫症 - 抖音
图片尺寸1440x1920
生死营救 | 女子骑车摔倒致脾脏破裂,沭医腹腔镜微创手术成功抢救
图片尺寸1080x652