腹腔干ct图

分享一个腹部ct解剖,希望能对大家有帮助
图片尺寸580x386
超全的腹部ct图谱建议收藏
图片尺寸580x386
入院急诊cta提示腹腔干动脉狭窄.
图片尺寸1200x1600
腹部ct入门解剖图谱收藏版
图片尺寸1080x810
术前降压.完善主动脉cta检查.于2017年5月34日行降主动脉夹层
图片尺寸689x622
病例分享腹部ct影像诊断分析
图片尺寸960x720
病例分享:腹部ct影像诊断分析
图片尺寸600x450
腹部病变ct
图片尺寸915x2061
腹部增强ct小心漏诊这个病
图片尺寸792x616
入院后腹部ct检查腹腔内小肠广泛扩张
图片尺寸2200x1650
ct如下
图片尺寸2210x2089
影像图谱系列腹部ct经典课件(1)ppt
图片尺寸1080x810
每位影像科医生都应该掌握的腹部ct基础读片36张看完就会了
图片尺寸640x475
胸主动脉夹层,突发后背,腹痛4小时,急诊下行胸主动脉
图片尺寸1920x1080
上腹部ct
图片尺寸3456x2304
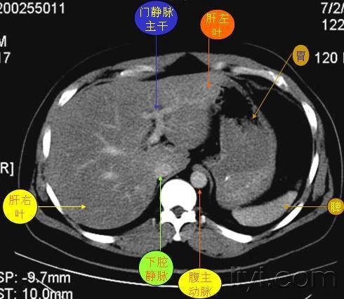
腹部ct
图片尺寸490x426
星光ict落户吴忠市人民医院
图片尺寸1606x1200
本例确诊后对b超及ct再次回顾发现:腹腔,盆腔可见不均质中强回声包块
图片尺寸1456x1080
腹部血管cta解剖,腹腔干,肠系膜上动脉,肝总,固有,十二指肠-健康视频
图片尺寸864x486
病例分享腹部ct影像诊断分析
图片尺寸960x720