腹部x光片

腹部x光
图片尺寸1200x760
腹平片x线摄影及常见急腹症的诊断
图片尺寸960x720
x线片腹部仰卧位:显示肠扩张
图片尺寸954x1200
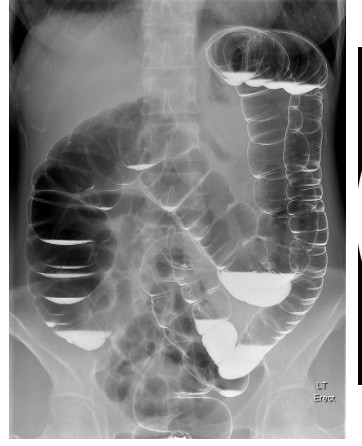
门诊dr腹部立位片提示:肠管积气,多个气液平面.
图片尺寸2000x2667
腹平片x线摄影及常见急腹症的诊断
图片尺寸960x720
x片ct片
图片尺寸663x771
15楼回复sun燕子2013-06-12 20:19:56入院时拍的腹部平片 3天后
图片尺寸800x1280
消化道多处梗阻怎么办支架置入显身手
图片尺寸1080x1129
腹部x光片显示肠梗阻
图片尺寸1200x800
平腹或平腹是一种显示人体腹部解剖结构的x线影像.
图片尺寸988x1200
腹部x光
图片尺寸987x1200
影像基础 | 正常腹部x线学习
图片尺寸640x401
x线规范化检查腹部前后位摄影视频及图文详解
图片尺寸1080x608
x线规范化检查腹部前后位摄影视频及图文详解
图片尺寸1080x608
但是,钡剂要是渗漏到腹部及盆腔,可能引起严重并发症,如腹膜炎.
图片尺寸362x446
从胸部正侧位片上看,仍然未见明显膈下游离气体.
图片尺寸1279x1706
看到这张腹部平片第一诊断是什么呢?隔下游离气体--消化道穿孔啊!
图片尺寸2000x2667
患者入院前腹部x光片,提示肠管梗阻,扩张
图片尺寸684x788
腹部x光片显示便秘
图片尺寸993x1200
腹部平片
图片尺寸1200x1600