腺样体肥大x片

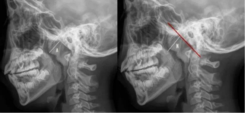
腺样体肥大的诊断及测量标准?
图片尺寸1027x873
腺样体肥大的诊断及测量标准?
图片尺寸850x747
腺样体肥大的诊断及测量标准
图片尺寸1080x924
【高尚病例】腺样体肥大
图片尺寸1061x719
图片尺寸690x920
怎么通过拍片确定腺样体肥大?
图片尺寸951x767
腺样体肥大,在小儿疾病中比较常见,张开嘴,在咽部的穹窿顶部可以看到
图片尺寸1004x1280
腺样体肥大可以不用手术
图片尺寸1920x1080
腺样体肥大别手术!中医揪出"痰湿"元凶,6种食物比消炎药管用!
图片尺寸2673x1945
图片尺寸690x1380
腺样体肥大的诊断及测量标准?
图片尺寸1080x535
【高尚病例】腺样体肥大
图片尺寸825x380
28岁患者仍然存在重度腺样体肥大
图片尺寸2160x3840
【高尚病例】腺样体肥大
图片尺寸1072x656
图片尺寸690x1495
5岁孩子出现腺样体肥大,及早手术治疗很关键
图片尺寸900x1200
医学影像 有会看腺样体肥大的吗?这个是堵塞多少啊?
图片尺寸1080x1920
健康宣教纪实
图片尺寸1080x759
儿童腺样体肥大影像表现及诊断标准
图片尺寸1080x810
腺样体肥大的孩子完全可以保守治疗
图片尺寸1207x1533