腺癌细胞图片

肺腺癌细胞……胸腔积液中
图片尺寸574x810
肺腺癌细胞……胸腔积液中
图片尺寸528x810
腺癌是恶性上皮肿瘤的一种,癌细胞类似腺体的细胞,如肺内分泌粘液的
图片尺寸1936x1936
腹水中的典型腺癌细胞
图片尺寸1241x931
乳腺癌细胞图片
图片尺寸400x300
肺腺癌细胞……胸腔积液中
图片尺寸530x810
pc9人肺腺癌细胞
图片尺寸800x600
腹水中的典型腺癌细胞
图片尺寸1241x918
寻找典型的胸腹水中典型的腺癌细胞图片
图片尺寸720x576
一例高龄老人胸腔积液中查到腺癌细胞的病例讨论
图片尺寸640x668
71岁女性患者!胸水腺癌细胞
图片尺寸640x854
寻找典型的胸腹水中典型的腺癌细胞图片
图片尺寸720x576
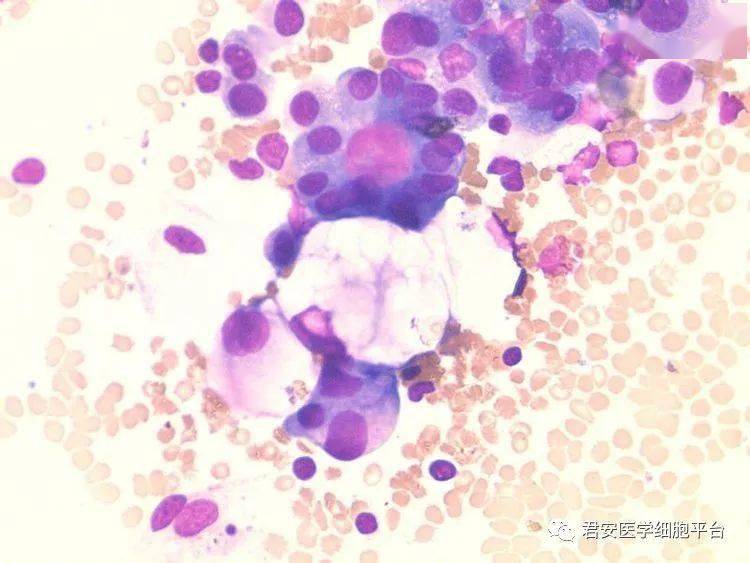
一例腺癌细胞胸腔转移病例分享
图片尺寸750x563
腺癌?讨论病例【中美加非妇科病理交流群病例308】
图片尺寸3648x2736
戴华顺123891058067查见腺癌细胞
图片尺寸729x1080
腹水中的典型腺癌细胞
图片尺寸1241x938
寻找典型的胸腹水中典型的腺癌细胞图片
图片尺寸720x576
71岁女性患者!胸水腺癌细胞
图片尺寸640x854
癌细胞图片
图片尺寸1600x1066
细胞之间如何"搏斗"?德国摄影师拍出来了
图片尺寸800x1032