膀胱乳头状癌

乳头状的,外形看上去有的像花菜,有的像水草,有一个细蒂与膀胱壁相连
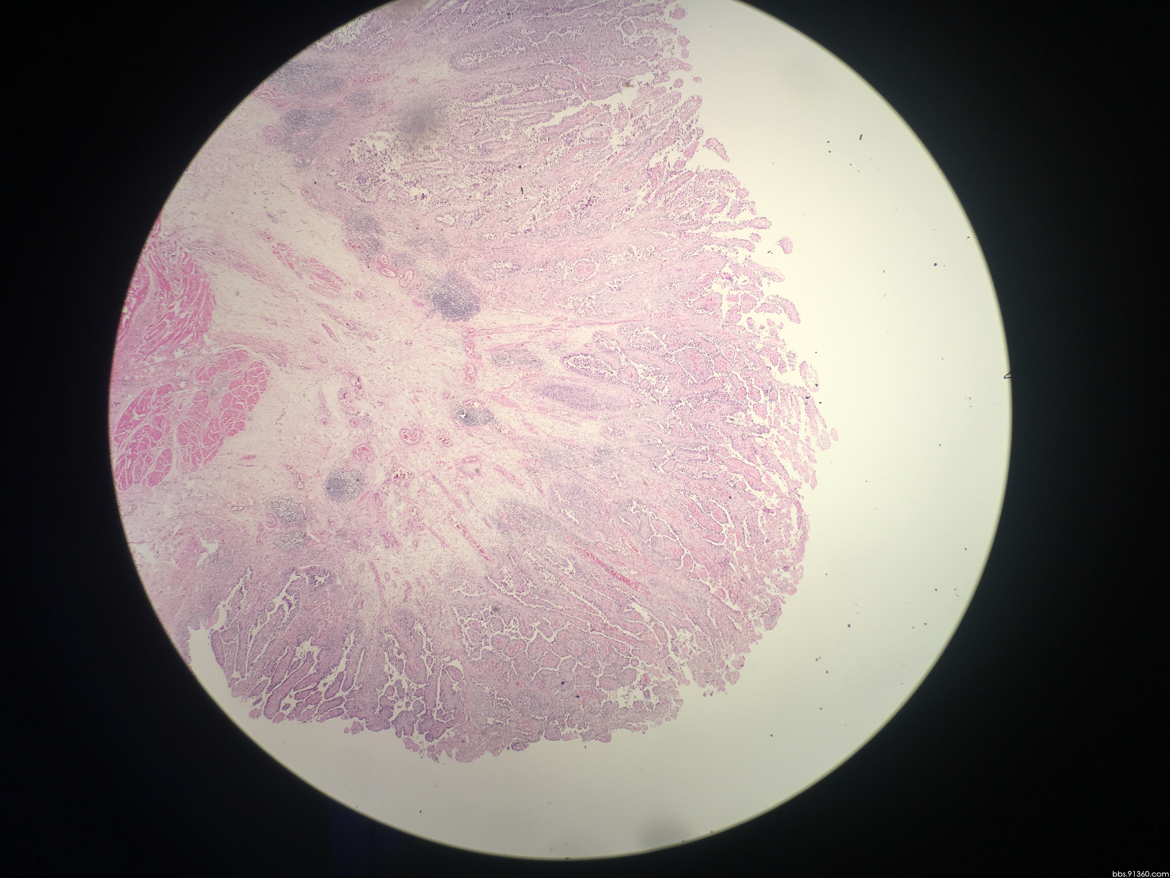
图片尺寸2000x4174
带您了解膀胱肿瘤那些事
图片尺寸752x893
膀胱尿路上皮乳头状瘤病理图谱
图片尺寸661x580
膀胱尿路上皮癌(膀胱镜所见).示单发或多发的外生性乳头状肿物
图片尺寸576x426
膀胱乳头状浸润性高级别尿路上皮癌,示乳头状结构
图片尺寸661x493
膀胱尿路上皮内翻性乳头状瘤病理图谱
图片尺寸572x431
河南中医治疗膀胱癌
图片尺寸550x388
膀胱肿瘤病人的护理精要课件
图片尺寸800x600
膀胱肿瘤需要注意的一些问题
图片尺寸459x410
确诊病例小黑板020膀胱非浸润性乳头状尿路上皮癌
图片尺寸900x720
确诊病例小黑板020膀胱非浸润性乳头状尿路上皮癌
图片尺寸900x900
膀胱壁高级别乳头状尿路上皮癌2017.06.
图片尺寸4032x3024
膀胱低级别尿路上皮乳头状癌还是恶性潜能未定
图片尺寸1280x675
膀胱肿物 非浸润性内翻性乳头状尿路上皮癌(低级别)讨论病例【中华
图片尺寸4608x3456
膀胱低度恶性潜能内翻性乳头状瘤
图片尺寸800x594
病例讨论一例膀胱癌的诊治
图片尺寸3264x2448
膀胱典型的乳头状尿路上皮癌与典型的鳞癌并存,诊断为尿路上皮癌伴鳞
图片尺寸661x496
医药卫生 临床医学 膀胱肿瘤病人的护理ppt 病理 原位癌 乳头状癌
图片尺寸1080x810
上图:膀胱典型的乳头状尿路上皮癌与典型的鳞癌并存,诊断为尿路上皮癌
图片尺寸661x493
膀胱低度恶性潜能乳头状尿路上皮肿瘤电切术后膀胱灌注化疗效果观察
图片尺寸151x143