膀胱憩室超声

膀胱憩室. - 超声医学讨论版 - 爱爱医医学论坛
图片尺寸770x580
今天看的一例膀胱憩室并结石. - 超声医学讨论版 - 爱爱医医学论坛
图片尺寸768x576
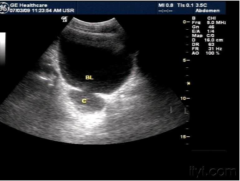
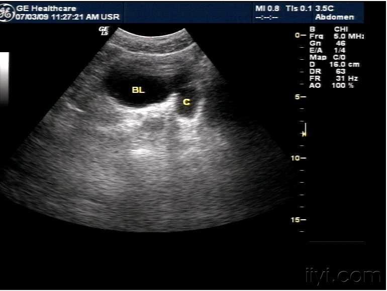
膀胱憩室并憩室内结石 - 超声医学讨论版 - 爱爱医医学论坛 - 爱爱医
图片尺寸768x576
膀胱憩室一例,希望大家喜欢 - 超声医学讨论版 - 爱爱医医学论坛
图片尺寸640x480
膀胱憩室两例 - 超声医学讨论版 - 爱爱医医学论坛
图片尺寸768x576
膀胱憩室两例 - 超声医学讨论版 - 爱爱医医学论坛
图片尺寸768x576
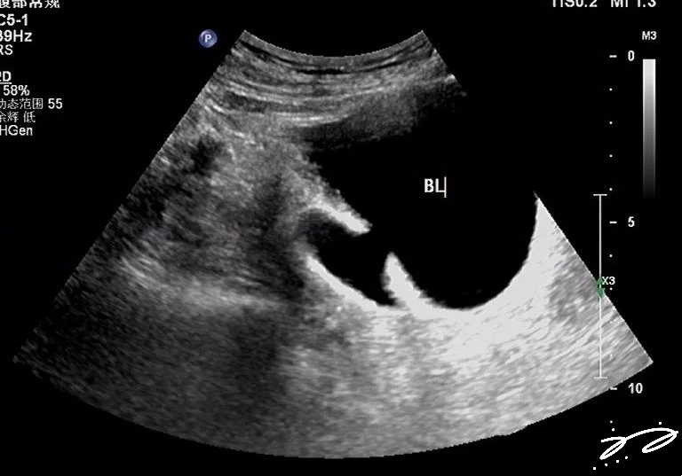
膀胱憩室超声图像特点:膀胱憩室是膀胱局部袋状外凸的表现,在声像图中
图片尺寸713x441
膀胱憩室 - 超声医学讨论版 - 爱爱医医学论坛
图片尺寸768x576
膀胱憩室与超声诊断
图片尺寸3648x2736
膀胱憩室 - 超声医学讨论版 - 爱爱医医学论坛 - 爱爱医医学网
图片尺寸720x540
膀胱憩室
图片尺寸1920x1080
膀胱憩室与超声诊断
图片尺寸768x537
一膀胱憩室片片 - 超声医学讨论版 - 爱爱医医学论坛
图片尺寸480x360
膀胱憩室. - 超声医学讨论版 - 爱爱医医学论坛
图片尺寸770x580
膀胱憩室 - 超声医学讨论版 - 爱爱医医学论坛 - 爱爱医医学网
图片尺寸720x540
分享下一例巨大膀胱憩室的图片
图片尺寸2160x1440
膀胱憩室结石点进去了
图片尺寸1080x1920
【讨论】看一下膀胱憩室伴结石 - 超声医学讨论版 - 爱爱医医学论坛
图片尺寸640x480
膀胱憩室两例 - 超声医学讨论版 - 爱爱医医学论坛
图片尺寸768x576
膀胱憩室
图片尺寸1920x1080