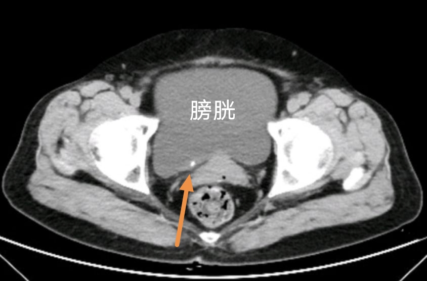
膀胱ct解剖图片

正常膀胱,前列腺在ct上什么表现?
图片尺寸1024x576
ct膀胱ct解剖图ct膀胱位置输尿管在ct图什么位置膀胱ct下腹部ct图解
图片尺寸844x556
"ct膀胱造影检查结果让所有人倒吸冷气:膀胱真的破了,腹腔里全是尿液!
图片尺寸896x649
来自贵州63岁李大叔,因为尿频,血尿等症状去医院检查不幸确诊膀胱癌
图片尺寸900x600
夏季发病率超5倍!这3类职场人是高危人群
图片尺寸1080x540
造影,不吃含金属的药物;盆腔检查应尽量多饮水,以便充盈消化道及膀胱
图片尺寸640x862
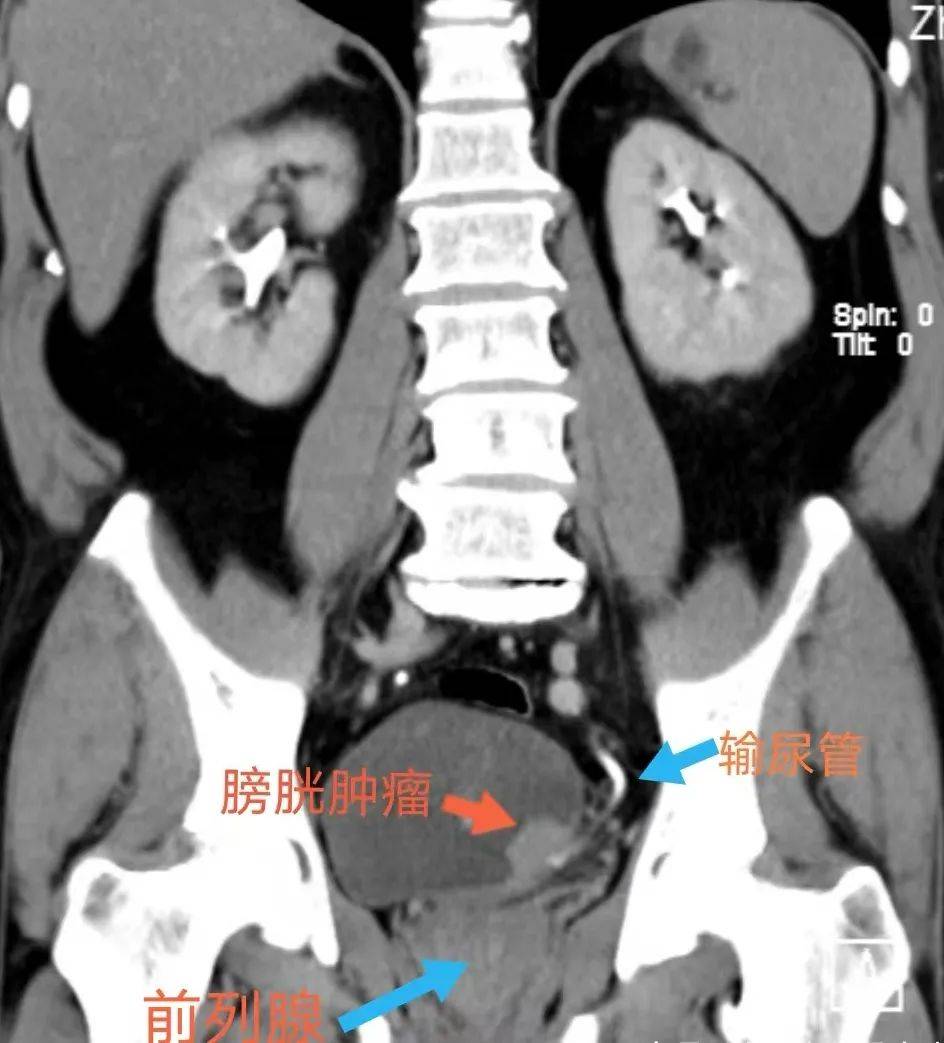
3,膀胱入口2,盆腔入口(跨髂血管处)1,输尿管起始部;输尿管三个生理性
图片尺寸720x550
膀胱壁增厚
图片尺寸1440x1920
这个膀胱怎么啦?
图片尺寸512x540
9.解剖学 膀胱
图片尺寸1920x2560
cpr,内窥镜等后处理清晰显示梗阻点,对尿路及膀胱憩室的显示立体直观
图片尺寸983x1287
尿色转清,尿血改善,腹痛 膀胱癌血尿图气肿性膀胱炎ct横断面与矢状面
图片尺寸682x455
膀胱占位.即将手术
图片尺寸512x512
无痛血尿≠小事!破解膀胱癌的"伪装"信号
图片尺寸944x1043
攻克复杂输尿管狭窄
图片尺寸636x406
ct检查结果显示李大爷膀胱内布满了30余枚结石,犹如月球表面的环形山
图片尺寸801x801
专题丨膀胱疾病的影像学诊断
图片尺寸1152x720
膀胱平滑肌瘤
图片尺寸1015x613
膀胱癌患者如何随访
图片尺寸1242x869
ct影像检查显示,王先生膀胱右侧顶壁被撕开一道3厘米的裂口,尿液如
图片尺寸497x408