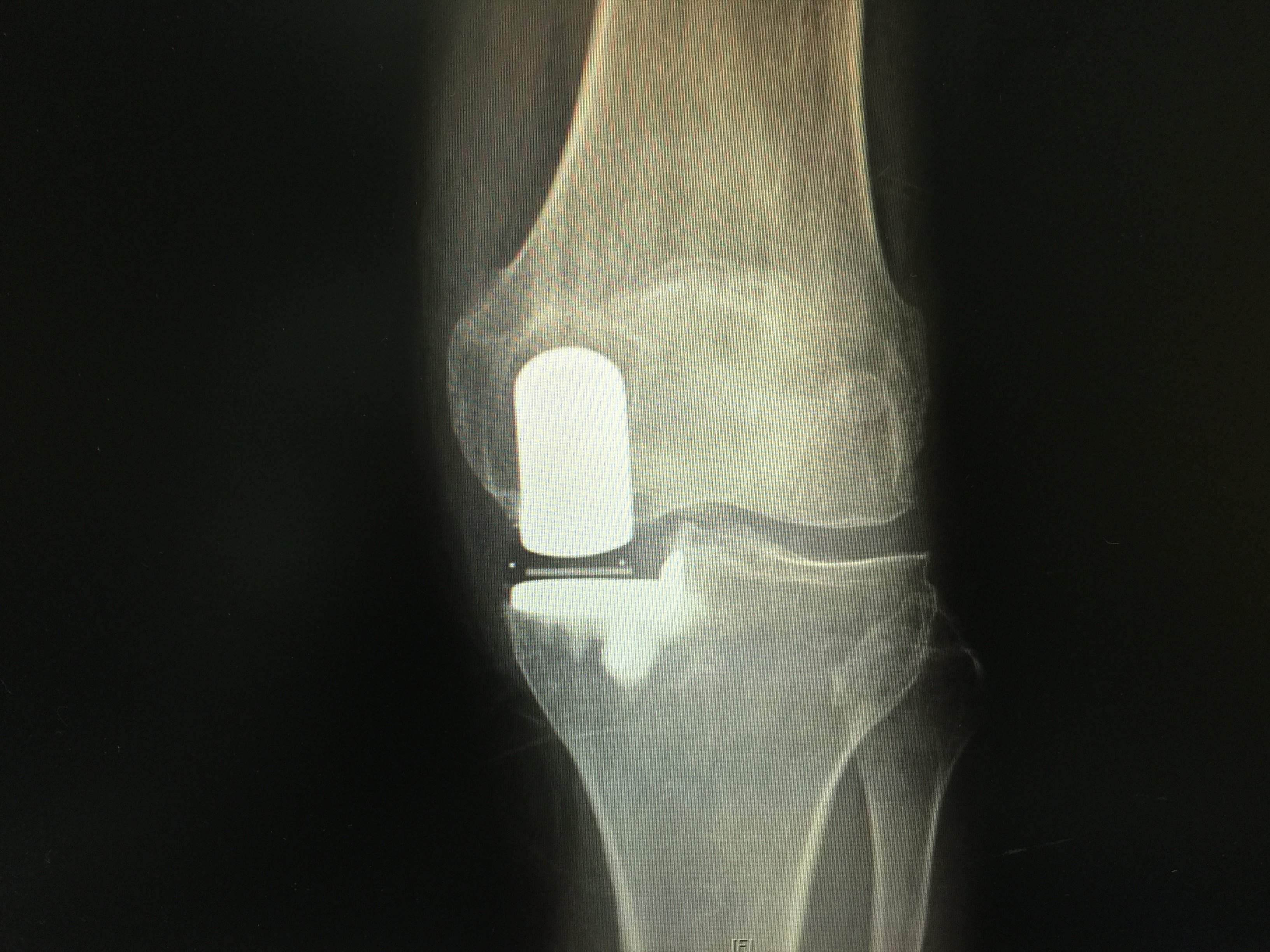
膝关节单髁置换术

78岁老人膝关节骨性关节炎兴城市人民医院首例单髁置换
图片尺寸1080x1206
膝关节骨性关节炎单髁置换术 - 好大夫在线
图片尺寸4608x3456
单髁置换术让她告别疼痛,重走人生路|手术|软组织|人工膝关节_网易
图片尺寸640x960
膝关节单髁置换术可用于治疗膝关节单间室骨关节炎患者,可以说这是一
图片尺寸495x352
健康科普单髁置换避免一刀切保留新膝望
图片尺寸1081x586
晋城康宁骨科医院"单髁置换术"为膝痛患者带来新选择
图片尺寸650x376
给膝关节补牙骨科开展单髁置换术微创解决老年患者膝关节疼痛问题
图片尺寸510x512
什么是膝关节单髁置换手术?
图片尺寸1890x800
膝关节单髁置换术突破8100例
图片尺寸517x214
单髁置换让膝关节炎患者燃起新"膝"望
图片尺寸960x580
骨性关节炎的治疗方法(骨关节炎难治怎么办?
图片尺寸1536x2046
骨科开展单髁置换术,微创解决老年患者膝关节疼痛问题
图片尺寸1121x421
单髁置换术精准"修补"膝关节
图片尺寸610x692
60岁女性,膝关节骨性关节炎.微创单髁置换术. - 好大夫在线
图片尺寸960x1280
什么是膝关节单髁置换手术?
图片尺寸1890x1417
膝关节单髁置换术
图片尺寸1079x1439
保膝治疗——膝关节单髁置换手术
图片尺寸2000x2667
膝关节单髁置换术由于其病因,症状的复杂性,koa的治疗具有阶段性和
图片尺寸739x548
微创单髁关节置换术 - 好大夫在线
图片尺寸3264x2448
60岁女性,右膝关节骨性关节炎,单髁关节置换术. - 好大夫在线
图片尺寸4032x3024