膝关节单髁置换术图解

神农医院骨病骨伤科完成我市首例,吉林省第三家,膝关节单髁置换手术
图片尺寸1800x2400
什么是膝关节单髁置换手术?
图片尺寸1890x1417
膝关节单髁置换课件和ppt
图片尺寸1200x900
膝关节单髁置换ppt课件ppt
图片尺寸920x690
健康科普单髁置换避免一刀切保留新膝望
图片尺寸1081x586
什么是膝关节单髁置换手术?
图片尺寸1890x800
单髁置换术的手术要点及技巧
图片尺寸1280x720
膝关节置换术示意图及部分手术风险解读
图片尺寸676x533
周末时间,帮助兴城市人民医院完成这例膝关节单髁置换手术,同时这也是
图片尺寸1080x1206
3d演示——膝关节单髁置换术_膝关节置换术
图片尺寸640x368
膝关节内侧单髁置换
图片尺寸749x623
膝关节单髁置换术突破8100例
图片尺寸517x214
人工全膝关节置换术
图片尺寸268x324
全膝关节置换 骨折分类 踝关节骨折分型 人工膝关节置换 膝关节置换术
图片尺寸1080x810
右膝关节骨关节炎,于外院单髁置换术
图片尺寸1371x1000
保膝截骨手术与全膝关节置换术相比,骨切除量较少,出血量少,病人恢复
图片尺寸3264x2448
给膝关节补牙骨科开展单髁置换术微创解决老年患者膝关节疼痛问题
图片尺寸510x512
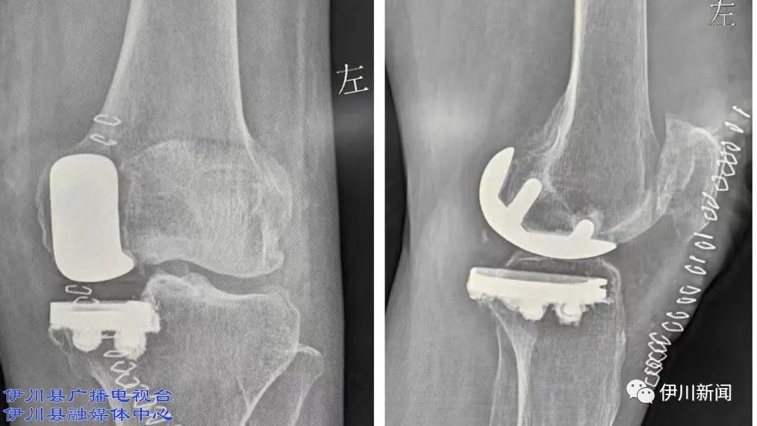
伊川总医院:微创单髁置换!
图片尺寸1077x606
膝关节单髁置换"快车道"_手术
图片尺寸634x500
写美篇髋关节翻修手术后一个月行走情况 单髁置换术前行走 单髁置换术
图片尺寸2000x2000