舌刺正畸

舌侧正畸的门槛究竟有多高? - 好大夫在线
图片尺寸570x427
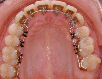
舌侧直丝弓矫正技术
图片尺寸2088x1696
舌侧矫治除了美观高效还有利于预防牙齿龋坏
图片尺寸720x480
北京,上海正畸系统班即将开课的,我们将和与会学员讨论有关个性化舌侧
图片尺寸1080x851
舌侧正畸整牙矫正一年了我想说….
图片尺寸1440x1920
真实用户体验——关于舌侧矫正的快速问答
图片尺寸1080x606
新疆舌侧隐形正畸介绍
图片尺寸501x334
在上海为什么做舌侧矫正的人很少呢?医生一语道破:价格贵呗
图片尺寸562x367
舌侧正畸临床指导 口腔正畸舌侧矫治技术 牙齿整形舌侧隐形矫正 舌侧
图片尺寸500x500
舌侧正畸~矫正于无形中 - 好大夫在线
图片尺寸5472x3648
万巨口腔又引进矫正新技术舌侧2d矫正技术完美的隐形效果强感谢北京
图片尺寸1124x750
展开全部 可以,使用舌侧矫正技术,一般费用在40000左右.
图片尺寸1279x858
舌侧隐形牙齿矫正
图片尺寸3024x4032
它是将矫治器全部安装于牙齿的舌侧面进行正畸治疗,外观上看不到任何
图片尺寸408x412
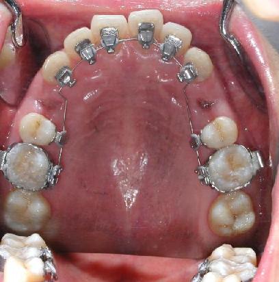
舌侧矫治技术的临床应用
图片尺寸400x269
舌侧(隐形)牙套
图片尺寸694x463
问答回复广州舌侧矫正哪个医院好舌侧矫正一般多少钱
图片尺寸400x311
34名正畸医师齐聚爱康健口腔认证班助力国内舌侧矫治新发展
图片尺寸1280x913
北京,上海正畸系统班即将开课的,我们将和与会学员讨论有关个性化舌侧
图片尺寸1080x842
佩戴舌侧保持器不想变成大舌头可以安装保护蜡在上面
图片尺寸500x359