舌骨囊肿

舌骨囊肿 孩子舌骨囊肿手术后能买保险吗?
图片尺寸481x640
甲状舌骨导管囊肿临床表现▲甲状舌骨导管囊肿病理表现:囊壁由高柱
图片尺寸802x520
甲状舌管囊肿 - 好大夫在线
图片尺寸2619x3492
术中完整切除囊肿及其相连的舌骨体
图片尺寸1080x1438
颈部肿物 #甲状舌骨囊肿 #甲状舌骨瘘 #舌骨囊肿 #甲舌 - 抖音
图片尺寸1440x1920
舌下腺囊肿的自愈
图片尺寸2062x2140
舌骨囊肿2年后
图片尺寸1080x1439
秦昊医生手记-20180702甲状舌管囊肿切除术 - 好大夫在线
图片尺寸4000x3000
请问我 这是 舌下囊肿吗?有图片
图片尺寸600x540
请问我这个是舌下囊肿吗?
图片尺寸732x1024
舌下腺囊肿
图片尺寸250x200
舌下腺囊肿应该开刀切除还是看中医较好?
图片尺寸480x640
甲状舌骨囊肿住院总结 - 知乎
图片尺寸1844x1746
舌前腺囊肿一例(附图)
图片尺寸2560x1920
的上方甚至偏左侧偏右侧,在舌根部呢,喉镜检查会发现小朋友长喉囊肿
图片尺寸640x480
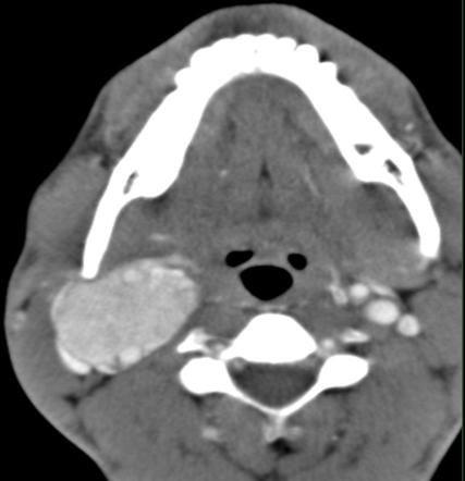
甲状舌骨囊肿
图片尺寸427x442
甲状舌骨囊肿?表皮样囊肿伴感染?
图片尺寸886x1920
舌下腺囊肿
图片尺寸521x500
儿童甲状舌骨囊肿怎么回事?_骨囊肿_介绍_检查 - 好大夫在线
图片尺寸1080x1440
分享腹针治疗舌下腺囊肿一例
图片尺寸1198x1598